
Do your research, cut through the advertising, and offer your clients your science-based opinion to quell the fears about diets you recommend.

Do your research, cut through the advertising, and offer your clients your science-based opinion to quell the fears about diets you recommend.

Veterinarian advocates testing immune response rather than giving vaccine unnecessarily.

If it's 9pm and the veterinarian is filling out medical recordsand you're not working the emergency-practice swing shift. Dr. Ernie Ward guarantees your veternarians are underutilizing assistants and technicians in the exam room.

Debilitating back pain meant putting her life on pause. Now she's backwith a lot to say about protecting pets in pain.

Marketing you, your veterinary practice and your good deeds should not include candid snaps of your less-than-perfect surgical protocols. (Isn't that what got Dr. Pol in trouble?)

Panic attacks in the surgery suite ... life as a high-functioning introvert in a public-facing profession (that's YOUR profession, people) ... and living your life with less worry about others' judgments. Her story is an inspiring one.

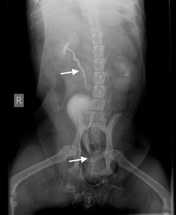
Veterinary radiologist Dr. Anthony Pease explains why contrast agents are a quick, easy way to examine the urinary tract

Youre gonna be all #Snapcat THIS! and #Instadog THAT!

Are you using your veterinary practice software to its full potential? Avimark threw us some typical software problems. Let's see what Snoozy the Cat can do about them ...

Medicine and business benefit when the staff is on the same page.

Old. Geriatric. Senior! How do these words make you feel? It's time to reframe your senior diagnostic conversations with veterinary clients with these three steps with this advice from a dvm360/VHMA Practice Manager of the Year contestant.

A reminder that what works in life also works in the veterinary clinic.

First, break down your stereotypes of older pet owners. (Hint: They don't all like to be treated as cute, little ol' people.) Second, start trying out these tips today for better communication with this growing population of veterinary clients.

You might wonder why a veterinary podcast is doing interviewing an architect. But Heather Lewis, partner at Animal Arts, a firm in Boulder, Colorado, is no ordinary architectshe's also a devoted advocate of minimizing pets' stress and anxiety during their veterinary visits. And she's got a lot to tell you!

VHMA members spill their best kept secrets for better customer service.

Don't forget to tell pet owners what you're showing them.

Is it the practice owner's job to put a stop to insulting client behavior directed toward his team?

We slam the 8 key for invoices to save time for receptionists, technicians and veterinarians.

"Veterinarians do not need to be worrying about personal issues in people's homes," says one Facebook user in response to the latest ethical dilemma from Marc Rosenberg, VMD.

The conclusion of our tale of a new veterinary associate's startling encounter over an estimate with a long-standing veterinary client.


Cats want to do the right thing when it comes to the litter box, but sometimes disease or their environment overrides the instinct. Here's how to help.

This veterinary hospital was, in fact, born in a barn. Find out how this team turned a historic landmark into a state-of-the-art veterinary facility.

We explain it all here, including how to switch your patients' experiences from the merely fun to the truly victorious.

Teach pet owners how to transport their furry friends to your veterinary practice with these calming tips for more mellow car rides. (Psst, this means you may face a more relaxed pooch in the exam room.)

And ... we wouldn't leave you hanging just with the problems! Here's advice to tackle this trio of Dr. Karen Felsted-identified roadblocks at your veterinary practice in this new video from CVC.

Facebook, Twitter, Instagram, Pinterestit doesn't matter which social media platforms your veterinary practice has its hooks in. Want succeed? You can't just talk AT people...you gotta talk TO people!

If you're in private practice and beholden to pet owners for your success in veterinary medicine, can you afford to skip the very basics of the exam room experience? (Hint: "No" is the answer you're looking for.) Here they are ...

Find tech-savvy tools to reach pet owners in the digital age.

When our veterinary hospital has an opening, job applicants flood in. They cant seem to resist our website and our social media pages that show off (honestly) our support of local community, care for patients and teamwork.