
In the thick of media reports and hourly updates, we asked your colleagues how they were handling the pet food recall. Here are their tips from the trenches.

In the thick of media reports and hourly updates, we asked your colleagues how they were handling the pet food recall. Here are their tips from the trenches.

A white, sparkling smile is in, and that goes for pets, too. So when clients opt for dental care, show them what they paid for, says Beth Wallukait, a receptionist at Bryan Animal Hospital in Des Moines, Iowa.

Bring your knowledge and an animal or two-you'll be the greatest show on earth.

Las Vegas - Explain care benefits, cater communication to client personalities and show genuine interest in a pet owner's concerns. These techniques, according to a recent study, ensure pet owners are willing to pay for the highest quality of veterinary care.

Receptionists who shortchange your relief doctor are shorting your veterinary practice's bottom line.

Referring your clients to certified trainers and behaviorists-and promoting early socialization and training all year long-is the best way to prevent aggression and bites. But National Dog Bite Prevention Week (May 20 to 26) is quickly approaching, so it's a good time to gear up.

Long-term drug monitoring doesn't have to be a hassle for you or your clients. With creativity and flexibility, you can win the chance to monitor your patients.

The team at Ottawa Animal Hospital in Holland, Mich., adopted two groups of solders in Iraq.

Your practice isn't a bank, and you're not a loan officer. Use these eight strategies to make sure your practice gets paid for services--so the practice owner can pay you.

Clients love you so much they send you endless photos of Trixie drinking from the toilet and Boots chasing a sunbeam.

Your practice is unique. Maybe you offer a service others don't, or maybe you just do it better. But if you don't tell clients why you're so special, they just might miss it. And wouldn't that be a shame?

Give your patients a license to board with custom pet ID cards, suggests Collin Babcock, the practice owner and manager at McCune Animal Hospital in Eagle Rock, Mo.

Whether from accidents, illness, or euthanasia, pets die every day, often in your hospital. Do you know what to say--and what not to say--to clients before, during, and after a loss?

When a client's beloved pet dies, Julie Roberts, practice manager at Blackhawk Veterinary Hospital in Janesville, Wis., says her practice reaches out to let clients know their pets will never be forgotten.

To increase parasite prevention and control compliance, make sure the doctors are in agreement about the standards of care and team members know what to say to clients.

An aging cat taught this doctor how to show compassion to clients with older pets.

Creating unity among clients whose pets have passed away helps solidify their bond to your practice-and shows great empathy.

We've adopted a major hotel chain's steps for providing excellent client service. Of course, we aren't in the hotel industry, but we are in the hospitality industry.

I thought I knew what the ideal veterinary client looked like-the one who's willing to pay for the highest level of care. I was wrong.

Want a fun, educational way to jazz up your reception area? Post a quiz on your bulletin board, says Laura Greer, practice manager for Above and Beyond Pet Care Hospital in Lubbock, Texas. Her practice uses quizzes to keep waiting clients informed and entertained. For example: I come in sizes that range from 2 pounds to 200 pounds, and I sweat through my feet. What am I? Answer: a dog.

Don't dump veterinary healthcare choices in clients' laps. You're the expert, so don't be afraid to tell them what's medically necessary.

I'm an associate at a small-animal veterinary practice. Is it OK for me to date a client?

Keep your clients happy-from when they make an appointment until they're done with follow-up care.

Quality veterinary dental education for staff, technicians and practitioners is readily available. Many practices take advantage of courses and seminars to increase knowledge and upgrade dental-care equipment.

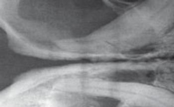
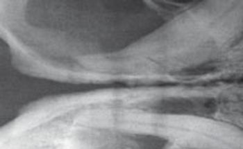
Nudge clients toward dental compliance using photos that depict the stages of dental disease-along with oral and written recommendations.

Give clients the tools and information they need to help them make a big decision.

A colleague of mine was audited, fined, and required to pay back taxes for not claiming discounted employee pet care as taxable income on employee paychecks. He said that anything over a 20 percent discount must be taxed and listed as employee income. I checked with my accountant and he confirmed that I've been doing it wrong. How do I make changes in order to comply with IRS standards without upsetting my staff?

In this video, Dr. Dennis Cloud shares the advice he gives his associates to help them get clients on board with recommendations for care.

How can I tell if my marketing efforts are effective? What's the best way to measure the results?