
EPS introduces a Mini-Liquidose label.

Even after 52 years, practicing medicine doesn't get old for this surgeon, teacher, and author. "I find that I enjoy my patients more each year."

Allpro Imaging introduces ScanX 14, a digital imaging system designed for small medical offices.

WASHINGTON - Public health needs more veterinarians. Standing as bulwark to the threat of infectious diseases and bioterrorism, the shortage of veterinarians in this role has become ?critical?, adds Sen. Wayne Allard, R-Colo.

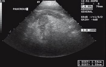
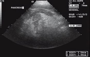
A 15-year-old 15.1-lb (6.9-kg) castrated male Lhasa Apso was presented to the Veterinary Medical Teaching Hospital at Texas A&M University for evaluation of chronic vomiting of several months' duration.

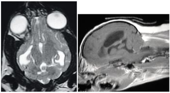
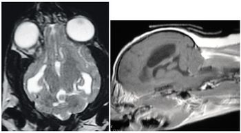
Cleveland ? Universal Medical Systems Inc.'s Vet-MR Grande?, the first dedicated dual-purpose magnetic resonance imaging (MRI) system for all small and large animals, was unveiled at the North American Veterinary Conference (NAVC).

Feline Radio-Iodine Center introduces radio-iodine therapy for feline hypothyroidism, the company says.

It is reasonable to decide which areas you are particularly passionate about and plan them as part of your 2006 charity pool.

These experts help us identify top design trends.

Charleston, S.C. ? Legislation that would make client complaints public record and revitalize an aged practice act is once again stalled in the South Carolina Senate.

Optimal medical care should include measuring BUN, serum creatinine and serum electrolytes daily.

Hypertensive encephalopathy (HyE) is an acute neurological syndrome, which can be characterized by any of the following clinical signs: nausea, vomiting, abnormal vocalization, ataxia, tremors, photophobia, blindness, frequent blinking, head pressing, stupor and/or seizure activity.

NuTopicals LLC introduces the Heal-A-Pet product line that contains an antiseptic gel wound cleanser, antiseptic wound spray, a therapeutic shampoo, an oral care gel and banana-peel extract wound cream for dogs, cats and horses.

We hope to be able to train or stimulate bone formation in a specific fashion.

Montpelier, Vt. ? The Vermont Senate gave a bill banning ear cropping the nod last month, leaving the House to decide if the state will become the first in the country to outlaw the procedure.

Mr. and Mrs. Lunkhead showed up at my office one day last month. It was their first visit. It didn't take me long to hope it would also be their last. Their cat, Goner, looked about half dead.

When I was a boy, most Americans resided in rural communities. And most of our schoolbooks, probably written in the late 19th century, featured stories about cows, milkmaids, geese, Chicken Little, cornfields, and so on.

It must have took about an hour of serious wiggling before I got it out.

New Orleans — About 1,100 veterinarians and 70 practices were located in Katrina's disaster zone according to early estimates from the American Veterinary Medical Association (AVMA). At presstime, no DVMs were reported missing or severely injured.

Need more information on new products or services you've seen in DVM Newsmagazine or on this Web site? DVM's reader service is the quickest way to receive it

Invest more in print

I just finished reading your September/October issue. I was quite enthralled. There was a lot of good information.

When placing a stirrup for a bandage, run the stirrup the full length of the bandage and leave extra at the top.

We have an inventory item called My Stuff that is linked to a prescription label with no charge associated with it.

Our clients often do not bring in stool samples for annual examinations, even when given convenient sample containers.

When you visit the hospital at night to check on patients, be sure to call the owners and give reports.

The best of both worlds, the ProSal compensation formula pays associates on a percentage of production and guarantees a base salary. Find out why this method's a top choice for associates?and why you'll like it, too.

National Report - Where are the jobs in veterinary medicine?

In contemporary veterinary medicine, magnetic resonance imaging (MRI) is an important tool in the diagnosis of neurological problems.

I don`t watch many of the popular television channels, but one I do enjoy is Animal Planet.