
Looking to make an investment for your practice this year? Put a digital dental radiography unit on your wish list, and you and your patients will all have happy and healthy smiles.

Looking to make an investment for your practice this year? Put a digital dental radiography unit on your wish list, and you and your patients will all have happy and healthy smiles.

Hear how digital radiography systems can optimize the dental radiographs you capture.


Equine arthroscopy is commonly used to manage problems in carpal joints, hocks and stifles. But what about managing a tear in a flexor tendon or navicular bursa? Get your moneys worth out of this instrumentand provide optimal patient careby giving some less conventional uses a try.

New technology may become protocol of choice at veterinary teaching hospitals.

A look at some pointers for evaluating a cat for heart disease.In "Feline cardiology: A review of the basics," Jan Bright, DVM, MS, DACVIM (internal medicine, cardiology), discussed some of the peculiarities of feline cardiology and offered tips to keep in mind when evaluating feline patients with suspected heart disease.

Dr. Ryan King provides a brief overview of which cases are best suited for CT vs. MRI.From the CVC in San Diego, veterinary radiologist Dr. Ryan King provides a brief overview of which cases are best suited for computed tomography (CT) vs. magnetic resonance imaging (MRI).

Dr. Ryan King outlines which forms of imaging are most helpful in certain clinical cases.


A contrast enema study helped clinicians detect an intestinal stricture in this exotic pet. See how this diagnostic step can help your reptile patients with similar signs.

Be sure to look a little deeper when using this technique during your search for a ruptured bladder to prevent missing the diagnosis.

What lies beneath this little dog's bite wounds?

Check out the stories, photos and floor plans of these 10 Merit Award-winning veterinary hospitals.

Client handout: Answers to your questions about pemphigus foliaceus in dogs and cats



Pick the right diagnostic step in this senior dog.



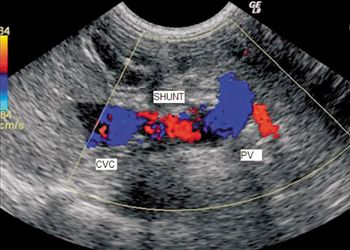
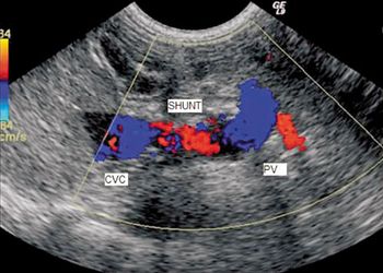
When you have a patient with a hepatic vascular abnormality, how do you confirm it?

Add a little contrast to help you find your diagnosis.

Examine the imaging results to help solve this pug's problem.


Dr. Anthony Pease discusses one aspect of digital systems that you don't have to worry about.

This on-demand course was written to provide information in a fun, easy, and memorable way that can be used to help hone your radiation safety skills; answer questions you may have; give you information you can use to decrease the amount of radiation you, as a radiation worker are exposed to; and to help you prepare for national, state, or local exams if you have those ahead. As people who spend a lot of time leaded, we also included radiation apparel comparisons and our recommendations. (2 CE credits)