Radiology
Latest News
Latest Videos
More News

Pain management in feline patients is especially challenging due to difficulty in diagnosing their pain and the limited number of pain control medications available for cats. But newer hands-free tools can expand your veterinary toolbox for feline pain control.

Veterinary technicians, prepare yourself for an ultrasound in action! Heres everything you need to know, from the machine to getting the perfect image from a patientin any situation.

Whether you work in general or emergency practice, you must feel comfortable performing certain emergency procedures. Here are the top five emergency procedures every veterinary practitioner who treats cats should know.

Heres our regular roundup of new and noteworthy veterinary products.

This dog was referred to an oncologist because of a mass identified by its primary veterinarian. Work through this case with the team at the University of Tennessee to find out what happens once a patient is referred.

Its never too late to correct oral problems, as long as the patients age remains top of mind.

Heres our regular roundup of new and noteworthy veterinary products.

Thinking of buying this advanced imaging technology for your general-practice veterinary hospital? A veterinary imaging specialist answers the money, time and space questions.

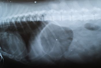
Examine the ultrasonograms, study the exam findings, and see if you can name the cause in this feline patient with hematuria and recurrent UTIs.

Here's help from some of our favorite veterinary radiologists for zeroing in on important imaging findings.

Its investigation is ongoing and the agency hasnt changed its recommendation to pet owners whose pets are not ill.

Stop scavenging the internet for comparable radiographs. Let Vetology AI do the digging so you can do the diagnosing.

This roundup of new products offers insights on canine behavior, the ability to perform arthroscopy anywhere, plus two resources for helping clients pay.

You have problems. And veterinary conference exhibit halls are full of people who want to solve them for you. Have you seen these ones yet, tackling dirty towels, jaded clients and the future of veterinary imaging?

Heres our regular rundown of new and notable veterinary products.

I got sick after decades of taking radiographs as a veterinary technician. Learn from my mistakes. Protect yourself.

Before you send off a stack of images, do your consultant (and yourself) a favor by specifying the endgame.

It's easy to be convinced of a diagnosis by a single two-dimensional image. Get the whole picture by obtaining additional angles.

Heres our regular rundown of new and notable veterinary products.

Diagnostic imaging becomes the 16th academy acknowledged by the professional association.

And if you cant remember any of them in the heat of the moment, focus on this: perfusion, perfusion, perfusion.

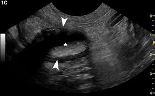
An intervention to remove urinary stones didn't alleviate this bichon frises's stranguria. See if you can spot the cause in this ultrasonogram.

I learned first-hand this year how hard these injuries are for pets and their owners.

Heres our regular roundup of new and noteworthy veterinary products.

Try this overview of surgical repair options to brush up your knowledge.





