
Heres our regular rundown of new and notable veterinary products.


Heres our regular rundown of new and notable veterinary products.

Diagnostic imaging becomes the 16th academy acknowledged by the professional association.

And if you cant remember any of them in the heat of the moment, focus on this: perfusion, perfusion, perfusion.

An intervention to remove urinary stones didn't alleviate this bichon frises's stranguria. See if you can spot the cause in this ultrasonogram.

I learned first-hand this year how hard these injuries are for pets and their owners.

Heres our regular roundup of new and noteworthy veterinary products.

Try this overview of surgical repair options to brush up your knowledge.

Well, a LOT of pennies for your thoughts. As in, well pay you for the brilliant problem-solving ideas youve come up with within the veterinary world.

Let veterinary clients know that "we didn't find anything" can be a good report.

Whether its a tip for studying, saving money or just plain ol destressing, we want to hear and share them with fellow students like you!

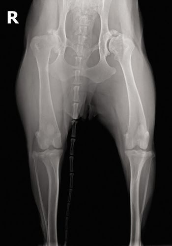
Are you an X-ray expert? Test your skills with this case of an unsteady standard poodle pup.

Here's our regular rundown of new and notable veterinary products.

Here's our regular rundown of new and notable veterinary products.

According to Dr. Pollard, a radiograph alone won't give you the answer you're looking for when you suspect a veterinary patient's heart is abnormal.

Here's our latest rundown of new and notable veterinary products.

Do not rule out this fatty form of cancer due to absence of fat on CT, says Dr. Eli Cohen.

Here's our weekly rundown of new and notable veterinary products.

A radiograph can quickly become an expensive and a dangerous waste of time (think of that X-ray exposure!) if its not showing what is needed. Here are some tips to make you a pro.

The cat, which had history of heartworm disease, presented with rear leg lameness.

How much do you love your digital radiography system? Is it an obsession or just a fling? We asked survey-takers to share the opinions on what digital radiography does for their productivity in practice and what itll look like in the future.

You've got ultrasound questions. We've got answers. Consider these cat-veats to maximize your machine.

Dr. Marie DeSwarte provides the radiology perspective on this multiple myeloma case.

No crane needed here; this team looked instead to an innovative carbon fiber design.

Worried that DR will become obsolete as soon as you make the purchase? Dont worryjust like fine diamonds, this technology holds value for years to come.

Hear straight-up answers to questions your colleagues had after one of Dr. Greenfield's CVC sessions on veterinary dentistry.