
Veterinary expert says if you're studied up, nothing can surprise you.
Dr. Greenfield is the owner of Your Pet Dentist of Memphis and Little Rock.

Veterinary expert says if you're studied up, nothing can surprise you.

Most veterinary clients dont appreciate surprises when it comes to their pets dental proceduresespecially when the revelation is permanent and costs extra. Here are some steps you can take to avoid them in your practice.

Perish the thought that you'd commit any of these errs in a patient's mouth. But just in case, listen in to this webinar and get an hour of CE credit in the process. One hour = healthier smiles for all your patients.

Hear straight-up answers to questions your colleagues had after one of Dr. Greenfield's CVC sessions on veterinary dentistry.

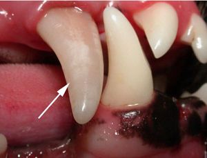
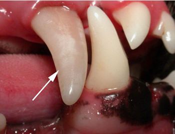
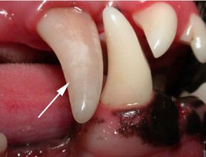
If your patient has a gray, pink, purple or blue tooth, dont just tell the owner to keep an eye on it. An intrinsically stained tooth is more than just a cosmetic issue, and the associated disease is often painful.

Published: March 29th 2017 | Updated:

Published: May 6th 2017 | Updated:

Published: June 7th 2018 | Updated:

Published: July 11th 2018 | Updated:

Published: December 13th 2018 | Updated: