
Before you send off a stack of images, do your consultant (and yourself) a favor by specifying the endgame.
Eli Cohen, DVM, DACVR, is a clinical assistant professor of radiology at North Carolina State Universitys College of Veterinary Medicine and co-owner of Dragonfly Imaging, PLLC.

Before you send off a stack of images, do your consultant (and yourself) a favor by specifying the endgame.

It's easy to be convinced of a diagnosis by a single two-dimensional image. Get the whole picture by obtaining additional angles.

This imaging specialist says techs are key to his practice productivity.

Do not rule out this fatty form of cancer due to absence of fat on CT, says Dr. Eli Cohen.

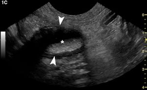
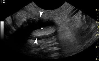
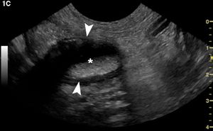
You've got ultrasound questions. We've got answers. Consider these cat-veats to maximize your machine.

Published: June 30th 2017 | Updated:

Published: November 9th 2017 | Updated:

Published: October 1st 2018 | Updated:

Published: November 8th 2018 | Updated:

Published: November 8th 2018 | Updated: