
An imaging pointer for staging lung cancer.

An imaging pointer for staging lung cancer.

Dr. Allyson Berent of New York's Animal Medical Center takes a look at the indications for interventional radiology in veterinary patients.

Dr. Chick Weisse discusses using interventional radiology to administer chemotherapeutic drugs and other oncology treatments.

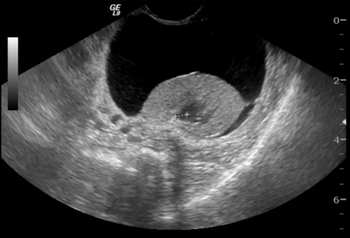
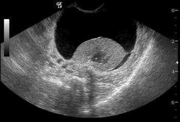
What is the lesion in this abdominal ultrasonogram?

A recent study evaluated whether a human radiographic classification system is valid in dogs.

Many times there is a need to label or put more information on an x-ray film.

Front-desk quiz: Test your medical knowledge answer 1D

How to help detect peritoneal disease on radiographs.

To help organize the markers used with radiographs, we purchased a plastic trading-card protector.

Abdominal ultrasound has taken on a "larger-than-life" position in diagnostic imaging in veterinary medicine for several reasons. First and foremost is that ultrasound is a non-invasive technique that can be used by the small animal practitioner for imaging the peritoneum, parenchyma of the abdominal organs and retroperitoneum.

Aside from ultrasound, a digital radiography suite is going to be the most expensive upgrade for the private practitioner in the realm of diagnostic imaging. However, this expense will be well worth the investment from a diagnostic imaging standpoint. After more than a century of film and film screen imaging, the backdrop of diagnostic radiology has changed from hanging films on view boxes to LCD monitors.

This brief overview of abdominal ultrasound is meant to be just that – an overview. If you are serious about ultrasound, you will take it upon yourself to review on the ultrasound references in physics such as that by Kremkau.

Obvious thoracic disease need not be discussed here. Fulminating heart failure, pneumonia, advanced metastatic lung disease, severe pneumothorax and pleural effusion are reliably diagnosed radiographically. What I would like to share with you are the less obvious radiographic manifestations of acute cardio-respiratory disease and my approach to diagnosis. And remember, in the final assessment much can be learned from the presenting clinical signs. Does the patient have a cardiac murmur or history of heart disease? Was there an observed or suspected trauma?

Much can be learned about the gastrointestinal tact (GIT) by careful evaluation of survey abdominal radiographs. Survey radiographs of the abdomen in cases of GIT disease should always include the stomach, liver, and diaphragm. Stomach position, size, shape and contents are evaluated. The small intestine is assessed for position and distribution within the abdominal cavity, diameter, and luminal contents.

Pulmonary patterns have the bane of radiology since the beginning of time (1896 when x-rays were discovered). Pulmonary pattern recognition is the most difficult concept to teach and the most difficult and frustrating to learn, yet, the pattern itself is only part of the puzzle.

Mediastinal abnormalities, including cardiac disease, are common causes of clinical signs related to the thorax. By definition, the mediastinum is the midline potential space formed between the two pleural cavities and includes the medial portions of the right and left parietal pleura (also called the mediastinal pleural) and the space formed between these serosal membranes.

Thoracic radiography is still the most common first line assessment for diseases and conditions of the thorax. With the advent of digital radiography, a new interest in diagnostic radiology has emerged. However, even though certain artifacts are not an issue (e.g., processing, exposure), problems with inadequately positioned patients still exist.

The normal thorax is well suited to radiographic evaluation because there is marked inherent contrast between the air-filled, fluid-filled, soft tissue, and bony structures that comprise the thoracic viscera and thoracic wall. As has been stated before, at least 2 orthogonal views of the thorax are required for complete and accurate interpretation. For routine evaluation of the thorax, either a right or left lateral projection, and a dorsoventral or ventrodorsal projection of the thorax are required.

Pulmonary patterns have the bane of radiology since the beginning (1896 that is). The most difficult concept to teach and the most difficult to learn, yet, the pattern itself is only part of the puzzle. The recognition that the disease is actual within the pulmonary parenchyma and not in the pleural space, extrathoracic structures or the mediastinum is the first step.

In this session we will review thoracic radiology and echocardiography with an emphasis on normal and abnormal anatomic features.

Radiographic evaluation has fast become a common facet of veterinary dentistry and only practices that utilize dental radiography can practice quality dentistry. Interpretation of radiographic changes that occur in the tooth and surrounding bone take many forms.

A new study finds that most veterinarians still use film-based radiography, but digital radiography is up and coming.

Aside from ultrasound, a digital radiography suite is going to be the most expensive upgrade for the private practitioner in the realm of diagnostic imaging. However, this expense will be well worth the investment from a diagnostic imaging standpoint. After more than a century of film and film screen imaging, the backdrop of diagnostic radiology has changed from hanging films on view boxes to LCD monitors.

Incorrect answer for Image Quiz: Dermatology-A bulldog with erythematous plaque

CT scanning has many uses in equine medicine and surgery.