
Canine malignant melanoma of the oral cavity, nail bed, foot pad and mucocutaneous junction is a spontaneously occurring, highly aggressive and frequently metastatic neoplasm.

Canine malignant melanoma of the oral cavity, nail bed, foot pad and mucocutaneous junction is a spontaneously occurring, highly aggressive and frequently metastatic neoplasm.

Lymphoma (LSA) is the most common tumor of the cat and represents approximately 80-90% of hematopoietic tumors in cats. LSA is the third most common tumor in the dog with an estimated annual incidence of 13-24/100,000 dogs at risk.

Vaccination has generally been considered to be a benign procedure in veterinary medicine. Unfortunately, soft tissue sarcoma development subsequent to vaccination (vaccine-associated sarcoma) in cats has dramatically changed this view within our profession over the last twenty years.

Head and neck tumors are relatively common in cats. An understanding of the differentials in this anatomic location is very important as the diagnostic and therapeutic approach may vary.

This discussion will review what I feel to be the top 10 clinically relevant advances in veterinary oncology over the last approximately 10 years.

Mammary gland tumors are some of the most common tumors seen in veterinary clinical practice.

Paraneoplastic syndromes are neoplasm-associated alterations in bodily structure and/or function that occur distant to the tumor.

Mast cell tumors are the most common tumor in the dog and the second most common tumor in the cat.

Raliegh, N.C. - NCSU will rank as the nation's first university to offer bone-marrow transplantation in a clinical setting.

Q: Please provide a review on palliative care for animals diagnosed with cancer.

Thyroid tumors are relatively uncommon in dogs, accounting for only 1 percent to 4 percent of all tumors. The majority of diagnosed thyroid tumors in dogs are malignant, because adenomas are clinically silent and found incidentally on necropsy.

Injection-site sarcomas are associated with high recurrence rates, even with wide surgical excision.

Columbus, Ohio - A decade of research and $20 million in grants yields an impressive recipe for uncovering new information about retrovirus-associated cancer as it affects both animals and humans.

Veterinarians will see more pets with cancer, since our pet populations are living longer.

Treating specific types of cancer can be very rewarding.

Because the language of pathology originated in numerous countries and has been handed down for many generations, pathology reports are often confusing and full of misnomers.

The veterinary profession and more specifically, oncologists are taking an interest in the concept of metronomic chemotherapy.

When a pet is diagnosed with cancer, the bond that is shared between them and their human caregivers grows stronger.

Cancer pain management was not taught in veterinary schools until the 1990's.

When treating oncology patients, technicians realize more stress and job pressure with dealing with chemotherapy drugs that are vasosclerotics such as Adriamycin (doxorubricin).

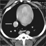
One might be tempted to say that a tumor that rarely spreads to the lungs does not require thoracic radiography, but I cannot think of any instance in a cancer patient's work-up in which looking at the thorax is unnecessary.

Malignant tumors of the lower urinary tract include transitional cell carcinoma, squamous-cell carcinoma, adenocarcinoma, leiomyosarcoma, fibrosarcoma, hemangiosarcoma and rhabdomyosarcoma.

Pullman, Wash. - In an effort to make canine bone-marrow transplants more commonplace for dogs, Washington State University's (WSU) College of Veterinary Medicine is preparing to open its own transplant center at its veterinary teaching hospital.

What are the facts and figures for mammary tumors in dogs?

A 10-year-old 12-lb (5.5-kg) female spayed domestic shorthaired cat was presented to Colorado State University's Veterinary Medical Center for evaluation of a protruding nictitating membrane of the right eye.