
Lymphoma can be classified according to World Health Organization clinical stage, anatomic site, histologic/cytologic phenotype, and immunophenotype.

Lymphoma can be classified according to World Health Organization clinical stage, anatomic site, histologic/cytologic phenotype, and immunophenotype.

The major goals of therapy for a brain tumor have been to control secondary effects, such as increased intracranial pressure or cerebral edema, and to eradicate the tumor or reduce its size.

Most cytotoxic chemotherapy protocols in common veterinary use are designed to have a low risk of adverse effects.

Primary gastrointestinal (GI) neoplasia is an important differential diagnosis for a dog or cat with vomiting or diarrhea, especially chronic vomiting or diarrhea, anorexia and weight loss, particularly animals that are middle-aged and older.

Of all the treatment modalities available in veterinary clinical oncology, surgery remains the most commonly applied and the most likely to effect cure at present.

Critically important, life-or death decisions regarding euthanasia, treatment, choice to pursue referral, etc. may be made based on information that the owner gets form the primary practicing clinician.

According to the Animal Cancer Center at Colorado State University (CSU), cancer is the No. 1 cause of death in geriatric dogs and cats.

One-third of all human cancer patients report pain (60-90% with advanced cancer).

The majority of neoplastic disorders presenting to the practitioner are manageable in the practice setting and advances in cancer chemotherapeutics are realized virtually every year.

Tumors of the skin and subcutaneous tissue are the most common tumors affecting dogs, accounting for approximately one-third of all tumors encountered in the species.

Given the plethora of locations and types of neoplastic disorders of the canine and feline eye, this hour long lecture cannot possibly do more than scratch the surface of this subject matter.

Dogs with incompletely excised grade 1 and 2 mast cell tumors that are ineligible for a second surgery may undergo radiation therapy to help prevent recurrence or metastasis. But this form of therapy is expensive, inaccessible to many practitioners, and inappropriate in sensitive areas because it can cause painful skin reactions.

Minneapolis/St. Paul -- The University of Minnesota College of Veterinary Medicine, in conjunction with the university's Masonic Cancer Center, has established a new Animal Cancer Care and Research (ACCR) program.

National Report - Pet owners are shopping for price, veterinarians say, and it's impacting general practice and referrals.

Denver - Canine cancer is the subject of an online presentation from Morris Animal Foundation.

Early detection and aggressive treatment are essential in the successful management of this tumor.

Denver -- An online presentation on canine cancer, during which three leading veterinary oncologists answer questions submitted by dog owners, breeders and others, is available on the Morris Animal Foundation's (MAF) Web site.

From this report, histologic analysis of tissues in cats with osteosarcoma will aid clinicians in providing a prognosis for owners, especially if incomplete surgical resection (unclean margins) occurs.

This study's design limited the biases (nonrandomized patient population, complete tumor resection) inherent in previous studies that showed a decrease in mast cell tumor recurrence in dogs after deionized water injection and surgery.

Anaheim Hills, Calif. - Dr. Mona Rosenberg was honored for lifetime service and dedication to animal cancer patients and their owners.

There is current emphasis in the veterinary field to practice evidence-based medicine. The concept is simplistic, although the practice is not always easy.

Raleigh, N.C. -- A formal partnership was announced between PharmaCom BioVet Inc. and the United Kingdom's PetScreen, a company that specializes in early cancer detection in canines.

Columbus, Ohio -- The American College of Veterinary Pathologists (ACVP) has elected a new president, Dr. Michael D. Lairmore of The Ohio State University Comprehensive Cancer Center and a veterinarian with the OSU College of Veterinary Medicine.

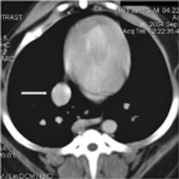
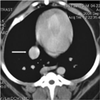
A 13-year-old 35.2-lb (16-kg) neutered male bichon frise was referred to the Veterinary Emergency Clinic in Toronto, Ontario, for evaluation of a caudal thoracic mass that had been identified radiographically by the referring veterinarian.

NATIONAL REPORT - Brett Cordes, DVM, turned 35 when he felt the lump in his neck.