
Cytology is a critical tool not only for the oncologist, but also for veterinarians in general practice. Cytology is easy, safe, fast, relatively inexpensive, and is often diagnostic.

Cytology is a critical tool not only for the oncologist, but also for veterinarians in general practice. Cytology is easy, safe, fast, relatively inexpensive, and is often diagnostic.

Canine lymphoma (LSA) makes up approximately 18% of all malignancies in the dog, and 80% of all hematopoietic tumors in dogs are LSA. Middle-aged dogs are most commonly affected; but out of cancers affecting young dogs (as young as 6 months), LSA is common.

Speaking with pet owners is something veterinarians do constantly; as such, it is the most common "procedure" performed in veterinary medicine. Yet very few veterinarians receive any guidance in this critical area during veterinary school or after.

Chemotherapy safety can be broken down into two big categories: safety for the patient, and safety for the individuals handling the drugs. Understanding how chemotherapy works provides a background for knowing potential dangers of treatments as well as how to safely use these beneficial drugs.

Fort Collins, Colo. -- Colorado State University?s College of Veterinary Medicine and Biomedical Sciences will team with Japan?s Gifu University School of Medicine and its National Institute of Radiological Sciences (NIRS) to research a promising new treatment for cancer: carbon ion therapy.

Does piroxicam have any effect in cats with transitional cell carcinoma of the bladder?

Richmond, British Columbia -- You may now be able to diagnose cancer in a dog with a simple blood test.

Fort Collins, Colo. ?- Colorado State University is looking to build new cancer therapeutics from its liposome-targeting technology. The university and NeoTREX (a division of CSU Ventures) inked an exclusive option agreement with Joveis, Inc. of Napa, Calif. for the development of these therapeutics.

San Diego -- The U.S. Department of Agriculture (USDA) has granted full licensure to Oncept, a canine melanoma vaccine, to Vical Incorporated?s licensee Merial Limited.

Auburn, Ala. -- Quantum Immunologics Inc., a private biotechnology company, is collaborating with Auburn University to bring the school's cancer immunotherapy program to the veterinary market.

As the focus of cancer treatments shifts away from conventional chemotherapy to more targeted therapies, a new strategy for the treatment of cancer has become increasingly more popular for both human and veterinary patients.

Certain cases of cancer may respond well to conservative analgesic therapy initially but eventually require multimodal analgesia.

Dr. Ravinder Dhaliwahl says most veterinary oncologists prefer three thoracic radiographic views.

Using ultrasound guidance to perform fine-needle aspiration biopsy is preferred for tumors of the neck.

Owners are more positive about radiation therapy as a cancer treatment option than you might think.

A general review of lymphoma then discuss various novel therapies currently available for the palliation and control of this cancer in dogs.

Clinical trials are an important part of our profession.

A standard and reliable approach to the diagnosis of a cancer case typically will lead the experienced veterinarian to an answer.

Each year, thousands of compounds are screened for possible anticancer properties.

Primary lung cancer is uncommon in dogs, comprising around 1% of all cancer in this species.

Dogs and cats with cancer are typically presented by their owners either because of the physical presence of the mass if it is visible or palpable, or because of the effect of the cancer on the body and its functions.

Cancer chemotherapy is a relatively recent development in medical history.

Mast cell tumors (MCT) are among the most common tumors treated in dogs and are periodically seen in cats.

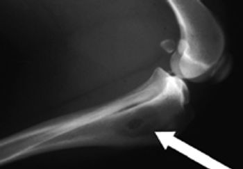
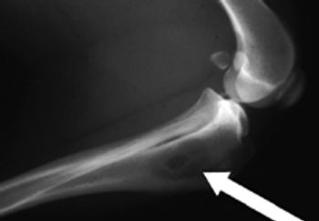
A general review of osteosarcoma then discuss various novel therapies currently available for the local and systemic treatment of this cancer in dogs.

Plasma cell neoplasms originate from terminally differentiated B lymphocytes that have undergone malignant transformation.