
The goal of this article is to describe the common histologic variants, clinical signs, biologic behavior, and newest options for early diagnosis and effective treatment of primary lung tumors in dogs and cats.

The goal of this article is to describe the common histologic variants, clinical signs, biologic behavior, and newest options for early diagnosis and effective treatment of primary lung tumors in dogs and cats.

Dr. Christine Olver discusses how iron deficiency is identified and treated in dogs as well as when practitioners should perform cytologic exams.

Osteosarcoma is a common cancer to see in larger, middle-aged to older dogs. One of the challenges in treating these patients is pain management. Amputation effectively relieves bone pain and is the standard of care for patients, but may not be an option for all dogs.

Baton Rouge, La. - Herpes virus is the next recruit in the war on cancer.

Although anal-sac tumors make up only 2 percent of all cutaneous neoplasms in dogs, they comprise a significant portion of the referrals to veterinary surgeons and oncologists.

While this was a relatively small study (nine dogs were treated with LDC), this paper suggests that LDC may be an effective alternative to MTD chemotherapy in dogs with hemangiosarcoma.

Los Angeles - 10/22/07 - Literally 'racing' for the cure, a $30-million canine cancer campaign logo adorned the hood of a vehicle participating in the biggest race of the year for NASCAR.

Fort Collins, Colo. - Colorado State University (CSU) announced it will build its second supercluster, this one for cancer research and treatment, along with NeoTREX, an embedded business enterprise dedicated to speeding the transition of cancer research from the academic world to the global marketplace.

Employing different alkylating agents is seen in the design of rescue protocols for lymphoma dogs. oneeded

Canine histiocytic proliferative diseases represent a range of disorders with different pathologic features as well as clinical behavior.

Denver, Colo. - 6/12/07 - The Morris Animal Foundation (MAF) released a Canine Cancer Campaign (CCC) poster to help veterinarians educate their clients about cancer risks in dogs.

The oral cavity is a common site for neoplasia in cats, accounting for about 10% of all feline tumors.

Denver, Colo. ? 5/30/07 ? Following the launch of its Canine Cancer Campaign, Morris Animal Foundation (MAF) released a special issue of its quarterly publication, AnimalNews, highlighting cancer in companion animals.

About 45% to 65% of hypercalcemic dogs and 10% to 30% of hypercalcemic cats have underlying neoplasia.

It is well known that the first attempt at surgery is the one most likely to provide control and/or "cure" of the tumor.

Practitioners, says this veterinary oncologist, must be not only clinically competent but also caring and compassionate. "A good veterinarian is like a ball of wax-he or she can be shaped to the different circumstances and needs of the patient and pet owner."

Most oncologists perform staging in cancer patients to help determine treatment options and prognosis.

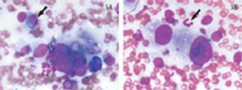
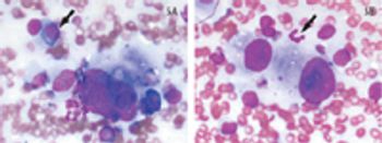
Bone aspirates are becoming increasingly more useful in diagnosis of ... bone lesions. needed

A 7-year-old intact male boxer was evaluated because of a preputial dermal mass that had been present for about one year.

New York - 2/27/07 - Pfizer Animal Health donated $1.1 million to the Morris Animal Foundation (MAF) to establish a national canine tumor biospecimen bank. The bank is expected to be valuable in treating dogs and may provide insights into human cancer. Funds for the tumor bank are restricted to the Canine Comparative Oncology and Geriatrics Consortium (CCOGC), a group of veterinary and medical researchers who have determined that a well-described repository of canine-tumor tissues is an essential resource for progress in new cancer therapies.

Many clinicians cringe when they see the word histiocytic on a diagnostic report. The nomenclature of histiocytic diseases can be difficult to understand, leading to confusion in regards to diagnostic and therapeutic options. To further compound the confusion, it can be easy to misdiagnose these diseases with only routine histopathology. This article is designed to provide a better understanding of the histiocytic diseases, as well as to provide information regarding the diagnosis and clinical presentation of these diseases and available treatment options.

Author's note: The first article in this series covered melanomas and SCC in dogs (July, DVM Newsmagazine). This article will discuss fibrosarcoma and benign tumors in dogs as well as SCC and fibrosarcoma in cats.

Diagnosing transitional cell carcinoma can be a difficult clinical challenge. Clinical signs (pollakiuria, dysuria, stranguria, and hematuria) are nonspecific, and differential diagnoses include granulomatous cystitis, other neoplastic diseases (lymphoma, rhabdomyosarcoma), a persistent or recurrent urinary tract infection, and urinary calculi-the latter two of which may occur concurrently with transitional cell carcinoma.

When calculating or using conversion charts, it is important to note that the weight used is in grams or kilograms (depending on the formula or conversion chart), not pounds.

A 7-year-old 11-lb (5-kg) neutered male domestic longhaired cat was presented to its regular veterinarian for vaccinations and a wellness examination.