
Mast cell tumor (MCT) represents the most common malignant cutaneous tumor in the dog, and is commonly encountered in small animals.


Mast cell tumor (MCT) represents the most common malignant cutaneous tumor in the dog, and is commonly encountered in small animals.

Lymphoma (LSA) is a relatively common disease entity in veterinary medicine.

While cytology does not give the practitioner the same amount of information as histopathology does, it can provide important information that is rapidly available, inexpensive, and minimally invasive.

The biggest problem to overcome before treating pain in veterinary medicine is properly identifying the pain.

Intensity Modulated Radiation Therapy (IMRT) is a method of 3-D conformal therapy using a computer controlled multi-leaf collimator.

It can be estimated that more than half of tumor-bearing pets suffer cancer-related pain.

Paraneoplastic syndromes may develop from the excessive production of hormones from an adenomatous or carcinomatous gland.

It would be enormously difficult to think about the diagnosis or treatment of cancer without the use of diagnostic imaging.

Pain ranges in prevalence from 15 to 90% among human cancer patients, with an incidence and severity that parallels disease progression.

It is the rapidly dividing nature of cancer cells that allows us to have success with chemotherapy protocols, and this same behavior can also lead to a crisis situation.

In the therapy of neoplastic infections with cytotoxic drugs, there is little basis for the selective killing of the abnormal cells as opposed to the healthy cells in the body.

Through clinical trials and retrospective studies, we have been able to learn which tumors respond best to what protocols and the body of knowledge continues to expand.

Pancreatic islet beta cell tumors, more commonly known as insulinomas, have been well recognized and well documented in ferrets over the last 20 years.

Many pets have successfully achieved remission, or more accurately "disease free intervals" with any number of chemotherapy protocols.

One of the primary goals for all personnel involved with managing veterinary cancer patients is to preserve quality of life.

New York -- Pets with cancer whose owners can?t afford treatment can get financial help from a newly established philanthropic fund, based on veterinarian referrals.

Abbott Park, Ill. ? A multi-year agreement to market a new chemotherapeutic agent for dogs was finalized by Abbott and Oasmia Pharmaceutical of Uppsala, Sweden.

When do you use intralesional chemotherapy? In what cases might it be useful?

Rockville, Md. -- Pfizer's Palladia (Toceranib phosphate) received approval by the Food and Drug Administration (FDA). The drug is the first one developed specifically for the treatment of cancer in dogs, the FDA reported today.

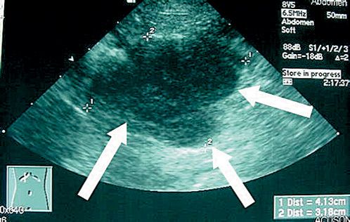
Please review the various causes of abdominal lymphadenopathy in cats.

Your defensive tools include surgery, radiation therapy, chemotherapy, and immunotherapy.

Tumor location and completeness of excision are significantly associated with survival time in dogs with oral tumors treated surgically, regardless of histologic type.

Feline senior care guidelines from AAFP stress the need for good nutrition and a healthy body.

Raleigh, N.C. -- Researchers from North Carolina State University's College of Veterinary Medicine and the University of North Carolina's Lineberger Comprehensive Cancer Center have teamed up to pinpoint the cause of and improve treatments for non-Hodgkin lymphoma in canines and humans.

This form of lymphoma is seen increasingly in cats, especially seniors. Two main types of alimentary lymphosarcoma affect cats: small cell and large cell. A recent article in Topics in Companion Animal Medicine reviewed the latest on diagnosing and treating both types.