
The minimum insemination dose of 500 million progressively motile spermatozoa for fresh semen and double that for cooled semen, established by Colorado workers in the mid 70s has been widely accepted as the industry standard.

The minimum insemination dose of 500 million progressively motile spermatozoa for fresh semen and double that for cooled semen, established by Colorado workers in the mid 70s has been widely accepted as the industry standard.

There are probably as many opinions as there are veterinarians in what constitutes an appropriate set of diagnostic procedures and therapeutic options for a subfertile or problem mare.

Management of pituitary pars intermedia dysfunction (PPID) in equids consists of improved husbandry, including adequate nutrition and limiting competition for feed, body-clipping, dentistry, and appropriate treatment of concurrent medical problems.

Management of Equine Metabolic Syndrome, the most accepted term for a syndrome of middle-aged obesity accompanied insulin resistance and insidious-onset laminitis, can be challenging as it primarily involves client education and acceptance to comply with dietary recommendations to effect substantial weight loss.

Hematuria can be presenting complaint for a variety of disorders of the urinary tract.

Until recently, there was little scientific basis for interpreting response to various techniques of diagnostic analgesia of the digit.

Although the frequency of diagnosis and treatment of pituitary pars intermedia dysfunction (PPID) in horses has clearly increased over the past decade, there is no evidence that the prevalence of PPID is actually increasing.

The mare under the influence of estrogen will have an increase of edema of the reproductive tract.

Although acute renal failure (ARF) remains a relatively uncommon problem in horses, it is a serious disorder that if not properly recognized and treated often has a poor outcome.

The significance of venereally transmitted disease in horses is gaining importance since the number of mares being bred by a single stallion has increased significantly.

There are a number of special considerations that must be addressed when treating equine patients with myofascial pain and dysfunction.

Animal movement has been a subject of research for a long period of time. Both qualitative and quantitative gait analyses have been used to analyze horse and horse movement.

Compounded drug formulation for use in equine clinical practice has at least two clearly ethical appeals, one contentious issue, and one non ethical practice.

The neurological examination should be performed with great care and with age and use differences in mind.

Physical examination of the horses with cervical neck pain indicates reduced to poor cervical flexibility.

Narcolepsy/cataplexy is extremely rare and breed specific.

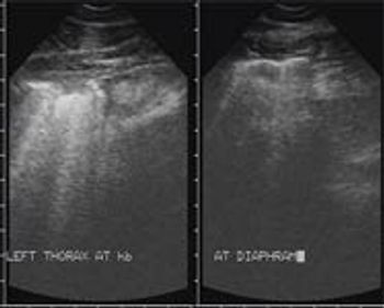
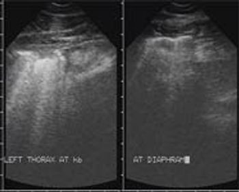
This case represents what clinical impression indicates is the most common form of pleuropneumonia seen in equine practice.

Neurologic gait deficits should be evaluated with basic systems and physiology in mind.

You are on a well-deserved vacation with your family. You thought you were taking a break from horses, but you look around anyway. There it is - a draft horse slowly pulling a loaded wagon full of tourists.

Back problems are a common cause of poor performance in all horses - especially competitive horses, whose jumping ability may be diminished.

Equine recurrent uveitis is an immune-mediated disease characterized by delayed hypersensitivity reactions.

A new list shows upcoming events in equine practice.

Washington -- A summary of the latest research on equine herpesvirus myeloencephalopathy (EHM), based on interviews with 18 veterinarians or state equine program managers who dealt with outbreaks in recent years, is available through the USDA?s Animal and Plant Health Inspections Services' (APHIS) Centers for Epidemiology and Animal Health (CEAH).

Lexington, Ky. -- The Racing Medication and Testing Consortium (RMTC) board of directors approved new national laboratory standards for racehorse drug testing and created an accreditation program for laboratories, along with an independent Equine Quality Assurance Program to provide third-party examination of testing labs.

Raleigh, N.C. -- The American Association of Equine Practitioners (AAEP) is adding a second "Focus" continuing-education session this year, offering two days of lectures and a day of laboratories on equine ophthalmology in October.