
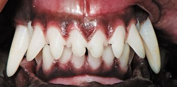
What approach would you take to fix this pups tooth and provide a solution for the long term?

What approach would you take to fix this pups tooth and provide a solution for the long term?

Today's clients are different, but in many ways you've never consider, they might be the same as they've ever been. Delve into two important ways veterinary clients fear the wrong action far more than no actionand what you can do about it.

Amplify your dental records with complete dental charting that labels the condition of each tooth. Photographs, full mouth intraoral radiographs and consistent terminology will help you stay in tune when you need to make dental referrals.

Thick, ropey saliva and a painful patient: Whats the deal?

What can spiral perm rollers, a tree at noon and your own opposable thumbs teach you about taking dental radiographs? Heidi Lobprise, DVM, DAVDC, explains.

Dr. Jan Bellows offers advice for treating these painful lesions in elderly feline patients.

Figure out what you really need and will really use. (And then make sure you do it by putting the right systems in place to support your teams plan.) Heres an overview of your basic equipment options from Dr. Heidi Lobprise.

Like a sore tooth, some conversations with clients are downright painfulespecially when you discover who they've been trusting with their pets' oral health.

Several tools are at your fingertips to take your dental care protocol further than ever before.

If Fred Metzger, DVM, DABVP, can sell you on properly training, paying for and accounting in dental procedure treatment plans for a second technician dedicated to anesthesia, he will.

Find out the tooth, err truth, about clients dental compliance with this simple form.

A recently publicized client horror story keeps care, revenue and oversight regarding the procedure in the spotlight.

Clients afraid of the anesthesia necessary for dental care in their senior pets? Listen to this.

With individualized anesthesia protocols and appropriate monitoring, veterinary dental procedures are safer than ever before. Now, all senior patients can enjoy the benefits of good dental care.

Teething is a tricky time for pet owners. You can help veterinary clients by serving up these simple suggestions to keep puppies properly occupiedand out of the shoe closet!

Find out when just keeping your eye on the target, and not necessarily intervening, is the best approach to dental care in your veterinary patients.

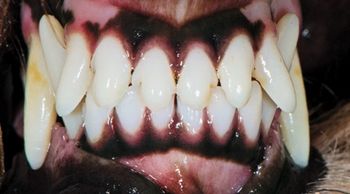
Scan the photos, spot the answer and save the patient.

Are you ready for the 12-year-old Yorkie that needs 24 teeth extracted? Theres no cookie-cutter approach in veterinary medicine! Heres help.

After an enucleation, purulent material began coming from this rabbit's nose and filled the empty orbit. Find out why.

A guide to when intervention is indicated in your veterinary patients with dental problems.

Use this form to promote regular dental checkups at your veterinary practice.

Bridge the gap in your dental knowledge and brush up on this amalgam of mystery dental instruments. Then brace yourself to make a great impression during the next dental appointment.

Extraction isn't always the best choice for veterinary patients with tooth troubles. Find out in which cases tooth repair-not removal-can restore dental health.

From kennel attendant to veterinarian, everyone can keep an eye on pets' oral health

When is dental extraction the treatment of choice? Find out in this first installment of a multipart series on what to do to when faced with dental pathology.