
Don't short-change the hard work that goes into dental work by calling it just a "cleaning" in front of clients. Two veterinary dentists sound off on their favorite terminologyand why.

Don't short-change the hard work that goes into dental work by calling it just a "cleaning" in front of clients. Two veterinary dentists sound off on their favorite terminologyand why.

If your patient has a gray, pink, purple or blue tooth, dont just tell the owner to keep an eye on it. An intrinsically stained tooth is more than just a cosmetic issue, and the associated disease is often painful.

Percolation-save it for your coffee, not for tooth fractures.

Dr. Barden Greenfield can help you turn the tragedy of this particularly difficult extraction into a triumphant victory.

Not all canine dental treats are created equal. Use this chart in your veterinary hospital to help dog owners find the best chews for their pets.

That dreaded moment when you peer into a patient's mouth and see what might be a tumor. Have the following questions been on the tip of your tongue? We've got the answers from veterinary oncologist Dr. Laura Garrett.

Test your skills at assessing troubled teeth with this quick veterinary dentistry quiz.

CVC educator Candice Hoerner, CVT, VTS (dentistry) makes the case for patient safety.

A big bonus of a thorough veterinary oral examination: You can spot oral tumors as well. The downside: You may spot an oral tumor.

When hair becomes embedded in the oral cavities of your veterinary patients, it can cause inflammation and the destruction of periodontal attachment. Know where to look for it, how to treat it and how to keep it from recurring.

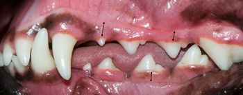
If pets in your veterinary clinic are plagued by plaque, take a moment to review Dr. Barden Greenfields advice on pockets, probing and why you should always keep a backup scaler tip.

Your clients are motivated to give their periodontal disease-stricken pets home care treatment. Heres what CVC speaker and dentistry expert Vickie Byard suggests you tell them.

Mary Berg, RVT, RLATG, VTS (Dentistry), demonstrates her preferred method of obtaining these images.

Five reasons you'll be over the moon about that veterinary dental radiography unit.

If cleanings and extractions aren't flowing like water spray during dental procedures, let veterinry dentistry advocate Dave Nicol, BVMS, get you pumped.

A collection of our top tips about veterinary dental care, including getting clients to embrace this important aspect of their pets' health and best practices once you're ready to roll.

Digital radiography has the better image, says dentistry-focused veterinarian Dave Nicol, BVMS. But, boy, those computed radiography cassettes are a lot cheaper for the veterinary practice manager to replace if something goes south.

The tooth-seeking adventure continues with Mary Berg and the deceptive dental radiograph discovery.

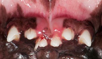
As you are readily familiar, if this vital oral tissue that protects the teeth becomes inflamed, a progressive and painful disease can develop if not halted with good dental care.

Handy dos and donts from a veterinary dentist to make sure your next extraction case isnt a pain.

Exclusive data points to how veterinary practice has changedand predicts what's in store for the future for the veterinary team.

From image quizzes to journal reviews and updated protocols, heres what your colleagues couldnt get enough of this year.

Bad words matter. And you could be turning off veterinary clients with these weak words and phrases. Use these sample scripts for a fresh approach to dental care.

When it comes to regional nerve blocks in veterinary dentistry, are two bupsbupivacaine and buprenorphinebetter than one?

In which we explore strange new zoonoses, seek out better diagnostics and new treatments, and engineer cats for world peace. (Really.)