
You see a possible lesion on a veterinary patient's dental film-here's how to tell if it's the real thing.

You see a possible lesion on a veterinary patient's dental film-here's how to tell if it's the real thing.

Dr. Wade Gingerich explains how the right instruments can make all the difference when performing feline oral surgery and dental procedures.

What's causing the two small openings lateral to this dog's incisive papillae?

Unexpected complications can surprise even experienced veterinary specialists. Consider referring complex surgery cases to avoid taking on more than you bargained for.

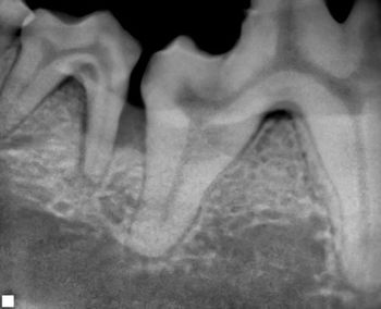
Intraoral radiography can help identify this pathology in your patients-and guide you toward the next step in your treatment plan.

Average cleaning is $170; average treatment is $221, says veterinary insurance company.

Periodontal disease is common in veterinary medicine and often requires surgical intervention. But some cases are more challenging than others-and knowing when to refer is key for good outcomes.

Consider this advice to get your whole veterinary team on board to offer the topnotch veterinary care pets need for better dental health.

Make every month Dental Health Month at your veterinary practice to get clients in the door for crucial preventive screening.

Extract, treat or refer? Learn how to interpret oral radiographic images and make more confident treatment decisions for patients.

Steve Dale argues ABC doesn't answer all necessary questions in recent show criticizing veterinarians.

How to tackle your clients' questions in the wake of ABC's news report.

Comprehensive extraction lectures and videos recorded live and now available on demand. Goes beyond the books with tips and tricks that you wont find anywhere else.

What happens when patients that have had non-anesthetic cleanings develop a problem?

More veterinarians are sanctioning cleanings without anesthesia. Here's what you need to know.

One provider shows its service in a video.

From creating a good digital radiography template to making sure all pathology is detected, Dr. Beckman has the answers you need.

New standard applies to all dental procedures, including cleaning.

Want more tips from Patricia March, RVT, VTS (Dentistry)? See March speak at CVC San Diego.

Veterinarians regularly undercharge clients for dental procedures. Learn how to communicate with clients better to make your dentistry profitable.

Digital imaging systems will enhance periodontal wellness for your veterinary patients-when you know how to present the benefits to clients.

Get answers to your most commonly asked questions about two essential components of dental care in veterinary patients.

Full mouth extractions offer hope for a cat with widespread oral inflammation.

An overview on how to address malocclusion and other orthodontic problems in pets.

State of Pet Health Report indicates sterilization plays key role in pet longevity.