
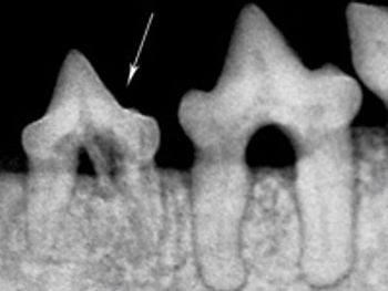
Make sure you know the best way to treat these discolorations that can signify severe disease.
Recently, a group of veterinary dental experts got together to discuss gold standards in veterinary oral care and how practitioners could deploy this care in their hospitals and engage clients to practice oral care at home.

Make sure you know the best way to treat these discolorations that can signify severe disease.

Strategies for addressing the large population of pets with dental disease that go unnoticed by their owners.

Use these Facebook posts and tweets to raise pet owners awareness about their pets' dental needs.

Was this dog's tooth root abscess the cause of its severe, progressive systemic illness?

Gingival bleeding on probing indicates inflammation and requires treatment.

Tips for catching this invasive neoplasia as early as possible.

Encourage clients to be vigilant with their pets' preventive dental care and help them save money.

Dr. Daniel Carmichael clarifies when this important preventive procedure is truly called for.

Sorting through your choices for repairing these deep-seated defects.

Wish your veterinary clients brushed their pets' teeth everyday? Here's how to spread awareness.

Rockville, Md. -- The U.S. Food and Drug Administration issued a safety warning to veterinarians about the use (and purchase) of some hand-held dental X-ray units sold over the Internet from foreign sources.
![H5-[69575920]-{952660}_t-761735-1384167201426.jpg](https://cdn.sanity.io/images/0vv8moc6/dvm360/f2f95bc347569762d2fa6d91621a062b64c44606-126x150.jpg?w=350&fit=crop&auto=format)
Specialty training pays off.

Change your practice's approach to National Pet Dental Health Month.

National Report - Several groups have teamed up to establish equine dentistry as a recognized specialty in North America and Europe and create a specialty college.

Follow this straightforward, step-by-step guide to remove this large-rooted tooth by creating a mucoperiosteal flap.

Veterinary dentist Dr. Brett Beckman shows you how to perform four different nerve block techniques that affect different areas of the oral cavity.

Try these quick and easy pain management techniques for oral surgery.

Depending on the degree of disease, locally applied antimicrobials may help.

Here are four ways to emphasize dental recommendations to veterinary clients.

Evaluation and treatment of these all-too-common oral defects.

Use before-and-after photos to increase compliance.

Veterinary dentist Dr. Daniel Carmichael asnwers this reader query.

Hit these points when checking the choppers.

Sacramento, Calif. -- Groomers will no longer be able to include dental scaling on their list of services in California.

Tips and tricks to ensure you don't ruin this essential, expensive equipment.