
Why you should trade your spring-loaded mouth gag for a gentler solutionespecially for cats.

Why you should trade your spring-loaded mouth gag for a gentler solutionespecially for cats.

Hear how digital radiography systems can optimize the dental radiographs you capture.

The take-home on this one? Think retroviral when you see inflammatory oral disease in cats.

'Unadoptable' feline gets special attention for oral palate problem, finds new home.

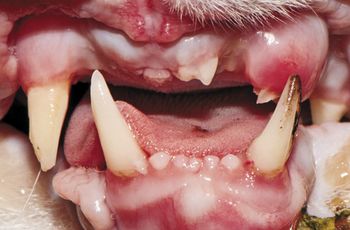
This veterinary dental condition, also called kissing lesions, can be extremely painful in affected pets and requires immediate and dedicated care.

Dr. Do-Right is more successful than Dr. Detail and Dr. Downer.

Use a positive approach during examinations

Mandibular and maxillary trauma can be difficult to evaluate and treat. Here are some tips that can help you streamline your diagnostics and improve your outcomes.

An inside look at one of veterinary medicine's most fascinating specialties

Veterinarians and pet owners alike often deal with unanswered questions and difficult decisions when it comes to dentistry.

Dr. Wade Gingerich responds to practitioners who are hesitant to refer cases to veterinary dentists.

This toolkit delivers articles, tips, handouts, videos and tools all designed to make it as easy as possible to discuss dental care with your team and clients. (With an educational grant provided by Virbac)

Veterinary dentist Dr. Christopher Snyder discusses which at-home measures are appropriate for which pets.

Dr. Christopher Snyder discusses whether this is a viable option for dogs and cats.From the CVC in San Diego, veterinary dentist Dr. Christopher Snyder discusses whether this is a viable option for dogs and cats.

Clients get the most knowledgeable advice about dental care from veterinary teams, and purchasing (and re-purchasing) dental products from you positions pet owners to successfully maximize their pets' dental health. Here's how to stay top of mind.

Do you know what your clients think they know about their dogs' dental health?

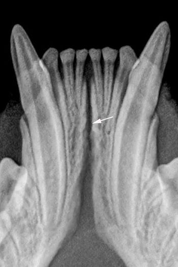
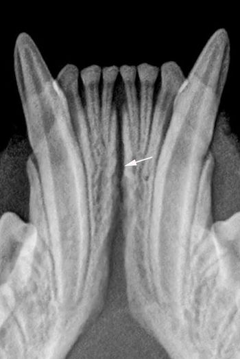
You see a possible lesion on a veterinary patient's dental film-here's how to tell if it's the real thing.

Dr. Wade Gingerich explains how the right instruments can make all the difference when performing feline oral surgery and dental procedures.

What's causing the two small openings lateral to this dog's incisive papillae?

Unexpected complications can surprise even experienced veterinary specialists. Consider referring complex surgery cases to avoid taking on more than you bargained for.

Intraoral radiography can help identify this pathology in your patients-and guide you toward the next step in your treatment plan.

Average cleaning is $170; average treatment is $221, says veterinary insurance company.

Periodontal disease is common in veterinary medicine and often requires surgical intervention. But some cases are more challenging than others-and knowing when to refer is key for good outcomes.

Consider this advice to get your whole veterinary team on board to offer the topnotch veterinary care pets need for better dental health.

Make every month Dental Health Month at your veterinary practice to get clients in the door for crucial preventive screening.