
Exercise-induced collapse in young, otherwise healthy, Labrador retrievers is an uncommon, dramatic, self-limiting condition.
Dr. Joseph Harari is a Veterinary Medicine Editorial Advisory Board member and board-certified veterinary surgeon at Veterinary Surgical Specialists, 21 E. Mission Ave., Spokane, WA 99202.

Exercise-induced collapse in young, otherwise healthy, Labrador retrievers is an uncommon, dramatic, self-limiting condition.

Gallbladder disease, a common condition in dogs, is associated with choleliths, mucoceles, neoplasia, or hepatic disorders causing bile stasis and possible subsequent infection.

Dog bites are one of the most common nonfatal injuries occurring in the United States.

Intervertebral disk disease (IVDD) is the most common neurologic disorder for which dog owners seek treatment.

Urolithiasis commonly affects dogs and can cause dysuria, stranguria, hematuria, pyuria, and an obstructive uropathy.

The results of this study provide support for various treatment strategies based on clinical presentation, owner finances, and the clinician's competency.

This study reviews cases from numerous clinics and evaluates newer sedatives and anesthetics.

From this report, histologic analysis of tissues in cats with osteosarcoma will aid clinicians in providing a prognosis for owners, especially if incomplete surgical resection (unclean margins) occurs.

This study's design limited the biases (nonrandomized patient population, complete tumor resection) inherent in previous studies that showed a decrease in mast cell tumor recurrence in dogs after deionized water injection and surgery.

The results of this study provide support for various treatment strategies based on clinical presentation, owner finances, and the clinician's competency.

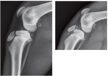
A useful protocol for practitioners who review their own films or send them to a specialist is to routinely obtain orthogonal views of the affected and normal bones.

In this prospective study, eight research dogs were used to compare temperature assessments made with a predictive rectal thermometer (the early rate of temperature change mathematically predicts the final temperature), an infrared auricular thermometer, and a subcutaneous temperature-sensing microchip.

In this retrospective study of dogs treated at a veterinary teaching hospital, the prevalence of appendicular osteosarcoma in greyhounds compared with other breeds was examined, along with the potential risk factors for developing the disease.

In this prospective study from a referral practice, the limbs of 10 healthy dogs were evaluated by using a thermographic imaging protocol to determine normal cutaneous thermographic patterns (a color map that indicates the skin temperature distribution) and evaluate the effect of hair clipping.

In this retrospective case series from a university veterinary medical center, the frequency of canine and feline emergency visits were noted with respect to the lunar cycle.

In this retrospective study of 100 cases from a veterinary college, preoperative abdominal ultrasonography and exploratory laparotomy findings were reviewed to determine agreement and discrepancy rates and identify lesions likely to be missed by ultrasonography.

In this case series, ureterolith movements in two dogs and five cats were evaluated.

In this prospective study at a university veterinary hospital, 20 healthy adult cats (6 to 24 months of age) were divided into two groups and underwent left forelimb unilateral scalpel or CO2 laser onychectomy.

In this prospective clinical study from a private practice referral hospital, the recoveries of 51 nonambulatory dogs with thoracolumbar intervertebral disk disease treated with hemilaminectomy and without methylprednisolone sodium succinate were evaluated.

In this retrospective study from a university veterinary hospital, the case records of 29 dogs and three cats were reviewed to determine the diagnostic accuracy of cytologic evaluation of splenic aspirates gathered by using ultrasound-guided fine-needle aspiration compared with histologic evaluation of specimens obtained by using surgical biopsy (10 animals) or ultrasound-guided biopsy (2) or at necropsy (21).

In this retrospective study, the clinical and computed tomography (CT) characteristics of 13 cases involving nongastrointestinal foreign bodies in dogs evaluated at a university veterinary hospital were reviewed.

Small-animal practitioners commonly evaluate patients because of foreign body ingestion, and subsequent small bowel resection is a common treatment.

These case reports from a university teaching hospital and private referral practice describe the clinical features and diagnostic evaluations of five cats with fibrocartilaginous embolic myelopathy.

In this controlled clinical trial from a university hospital, nine dogs with chronic forelimb lameness and radiographic evidence of elbow osteoarthritis were treated with electrostimulated acupuncture.

Spinal abscess, or epidural empyema, is an uncommonly described septic condition of the epidural space.

In this experimental study of six cats and six dogs, the contribution of subcutaneous tissues to first and second intention cutaneous wound healing was evaluated.

In this retrospective study from a veterinary teaching hospital, nine dogs with lung tumors were treated with thoracoscopic lung lobectomy.

In this retrospective study from a university teaching hospital, five dogs with progressive, unilateral forelimb lameness and neurologic deficits having undergone ultrasonographic evaluation of the brachial plexus region were described.

In this retrospective study from a veterinary teaching hospital, the medical records of 48 dogs treated for massive hepatocellular carcinoma were reviewed to determine clinical features and prognostic factors.

In this retrospective study from a veterinary teaching hospital, the medical records of 138 dogs (1997-2000) with a surgically removed gastrointestinal (GI) foreign body were reviewed to determine whether acid-base or electrolyte abnormalities were related to the site or type of foreign body.

Published: July 1st 2004 | Updated:

Published: July 1st 2004 | Updated:

Published: July 1st 2004 | Updated:

Published: July 1st 2004 | Updated:

Published: July 1st 2004 | Updated:

Published: August 1st 2009 | Updated: