
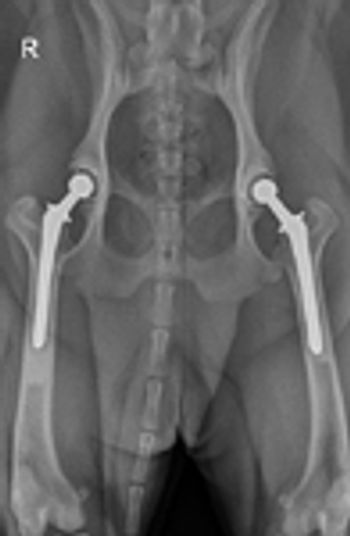
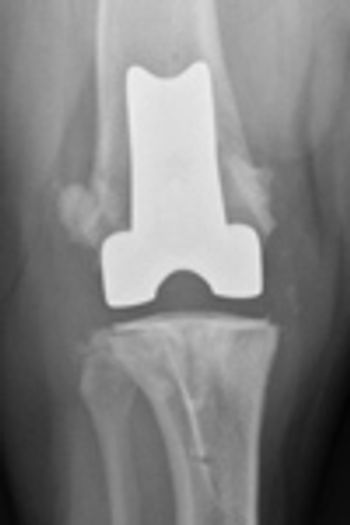
Metallic implants placed in the body should be corrosion-resistant, biocompatible, and must have adequate strength to withstand functional stress. Corrosion of metal occurs because of the electrochemical ions in body fluid. Most metal implants currently used in veterinary surgery are of 316L stainless steel.







