
Find out which conditions are most likely and get general guidance on their diagnosis and treatment. (Part 1 of a 2-part series)

Find out which conditions are most likely and get general guidance on their diagnosis and treatment. (Part 1 of a 2-part series)

Dr. Walter Renberg helps with what may be the Holy Grail of veterinary medicine.

See what injuries are more common in gun, agility, and flyball dogs.

The right conditioning based on the activity dogs participate in can prolong healthy participation in canine sports.

Know what conditions to look out for and how to best return these canine athletes to good function.

Dr. Wendy Baltzer explains how conscious proprioception retrains the spinal cord after injury and helps prevent injury.

Dr. Wendy Baltzer explains why this is the time to get involved in caring for canine athletes.

Dr. Wendy Baltzer describes which warm-up exercises can actually be harmful for agility dogs.

Dr. Wendy Baltzer provides examples of appropriate warm-up and cool-down exercises for agility dogs.

Raleigh, N.C. - A veterinary team at North Carolina State University recently performed a unique total knee replacement surgery on a cat.

In this photo gallery, veterinary surgeon Scott Palmer demonstrates how he straightened and lengthened a disfigured leg of a Great Dane puppy by using a novel surgical technique.

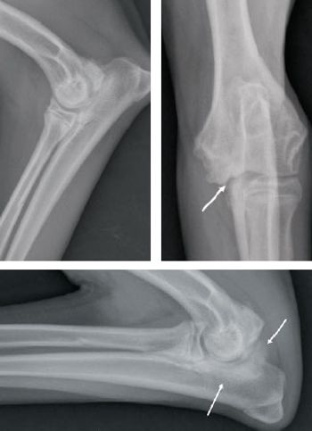
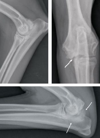
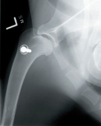
Fort Collins, Colo. - To save a dog's leg, a veterinary orthopedic surgeon tried something radical.

This is a question in "BizQuiz: Is stationary or mobile equine veterinary practice right for you?"

This is a question in "BizQuiz: Is stationary or mobile equine veterinary practice right for you?"


This is a question in "BizQuiz: Is stationary or mobile equine veterinary practice right for you?"

This is a question in "BizQuiz: Is stationary or mobile equine veterinary practice right for you?"

Image Quiz: Dermatology-The case of the blind Akita

The search for antibiotics began in the late 1800s, with the growing acceptance of the germ theory of disease, a theory that linked bacteria and other microorganisms to the causation of a variety of ailments.

Lameness and pain caused by osteoarthritis (OA) is one of the most common presenting complaints in small animal practice.

Juvenile pubic symphysiodesis: a simple, affordable surgical solution to canine hip dysplasia.

Juvenile pubic symphysiodesis (JPS) is a minimally invasive, affordable, prophylactic procedure performed in immature dogs at risk for development of arthritis associated CHD.

Feline osteoarthritis (OA) is a growing problem in our veterinary patients. We are discovering that it has been around and under diagnosed for years.

Panosteitis is an acquired self-limiting condition of undetermined cause that affects the diaphyseal and metaphyseal regions of the long bones of young, large breed dogs.

Cranial cruciate ligament rupture is a common cause of hindlimb lameness in dogs and is seen in cats as well.