
National Report - Pet owners are shopping for price, veterinarians say, and it's impacting general practice and referrals.

National Report - Pet owners are shopping for price, veterinarians say, and it's impacting general practice and referrals.

The results of this study provide support for various treatment strategies based on clinical presentation, owner finances, and the clinician's competency.

Amputation remains the standard of care to address most primary tumors of the appendicular skeleton. But in certain cases, a limb-sparing surgical procedure may be an option.

The results of this study provide support for various treatment strategies based on clinical presentation, owner finances, and the clinician's competency.

For too long, many veterinarians who have diagnosed hip dysplasia in young patients have informed the owners that the consequences will have to be dealt with later in life, when signs of osteoarthritis develop.

This form will help you track missed charges.

Osteoarthritis may be categorized as primary or secondary.

Osteoarthritis treatment falls into three categories: lifestyle changes, pharmacological intervention, and nonpharmacological intervention.

Although the terms degenerative joint disease and osteoarthritis are commonly used interchangeably in the veterinary arena, a distinction has been made between the two.

Compared with the radiographic features of feline osteoarthritis, the clinical signs of feline osteoarthritis are not well-documented.

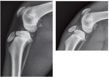
A useful protocol for practitioners who review their own films or send them to a specialist is to routinely obtain orthogonal views of the affected and normal bones.

It appears to be more common than previously thought and could be a major cause of discomfort in senior cats.

The diagnosis of hip dysplasia is commonly practiced but in my opinion is frequently misunderstood.

Use a systematic approach to ensure that you do not miss any problems. In general I use an eight step approach to the orthopedic examination.

The goal of nonsurgical and/or surgical management of the developmental abnormalities of the elbow is to slow the progression OA in the joint and reduce lameness in the patient.

Certainly hip replacement has the longest history, and the best prognosis, but it is important to note that elbow replacement has now been available for a decade and knee replacement for nearly a year.

Rehabilitation can be defined as restoration following disease, illness, or injury, of ability to function in a normal or near normal manner.

Degenerative joint disease or osteoarthritis is typically a progressive disorder that affects diarthrodial joints.

The most common cause of lameness on dogs in North America is partial or complete rupture of the cranial cruciate ligament.

The Tibial Tuberosity Advancement (TTA) is a procedure developed in Zurich, Switzerland, in the early 2000s. The biomechanics behind its success for correcting cranial cruciate ligament-deficient stifles is a change in the patellar tendon angle that effectively neutralizes the tibiofemoral shear (tibial thrust) that occurs during weight bearing.

Give this form to clients with overweight cats to help them understand the ins and outs of weight loss.

Adult stem cells are cells found in various tissues throughout the bodies of both juveniles and adults. By definition, these are undifferentiated cells that can be induced to become any of a number of cell types.

When we diagnose hip dysplasia owners want to know why their dog has it and what it means for their dog's future.

Fractures of the femur and tibia occur commonly and are often a result of vehicular trauma.

Orthopedic injuries to the distal limb may affect tendons, ligaments, bones, or articular structures.