
Ophthalmology
Latest News
Latest Videos

More News

A look at dvm360®'s upcoming August CEs and events

Plan your educational goals with these upcoming continuing education events and learning opportunities

Learn more about how a partnership between the American College of Veterinary Ophthalmologists and Epicur has helped certify the vision of service dogs.

Tulathromycin injection is an option for bovine respiratory disease, and other conditions

Rachel Allbaugh, DVM, MS, DACVO, is presenting the keynote session “Practical Ophthalmology—Identifying and Managing Frequent Adnexal Problems” on Saturday at 8 to 9 AM.

Discovering what types of video content can hold dogs’ attention could be the key to helping them see better as they mature.

Approximately 200 board-certified veterinary ophthalmologists will donate their time and resources to provide free screening exams to qualified dogs, horses, miniature horses, donkeys, alpacas and cats.

The 6 accredited board members are comprised of veterinary and scientific leaders in ophthalmology and clinical trial design.

The ins and outs of performing ophthalmic examinations including tips on the necessary equipment, observation techniques, and beyond.

An overview of feline conjunctivitis including clinical signs, the causes, plus diagnosis and treatment methods.

The veterinary ophthalmology specialty group reflects on its unique journey into the animal health space over the last 4 decades.

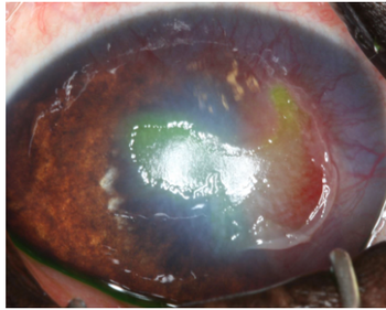
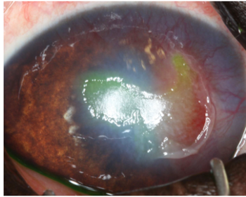
The owners opted to forgo diagnostic testing but accepted treatment of the presumptive diagnosis.

Check out this week’s highlights.

Brush up on your ocular care knowledge with these 3 insightful articles.

Keratoconjunctivitis sicca is among the more common ocular conditions seen in dogs. Here is a look at what causes dry eye and how to manage it.

Conditions in which the eyelid rubs against the eyeball, as well as drooping eyelids, can only be corrected surgically. Here’s a look at the appropriate procedures for various conditions.

Test your diagnostic skills by examining the following images and selecting the answer you think fits best.

A veterinary ophthalmologist outlines the classification, diagnosis and treatment of a leading (and painful) cause of blindness in dogs.

Veterinary ophthalmologist Dr. Clara Williams asks which ocular condition is at play in these patients. Test your skills by examining the following images and selecting the answer you think fits best.





When dogs delicate eyes suffer from ulceration, your veterinary clients, patients and doctors may all experience moments of frustration. Heres what you need to know when these cases present.

Veterinary clients often make the mistake of thinking cherry eye is medically irrelevant or simply a cosmetic issue to be ignored. Have them feast their eyes on this handoutthey might think twice.










