
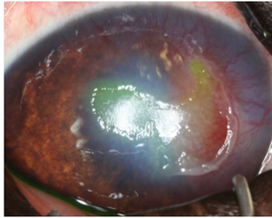
The owners opted to forgo diagnostic testing but accepted treatment of the presumptive diagnosis.
Dr. Joslin earned her DVM degree from Oklahoma State University in 2013 and become a diplomate of the American College of Veterinary Ophthalmologists in 2018. She practices at Mount Laurel Animal Hospital in Mount Laurel, New Jersey.

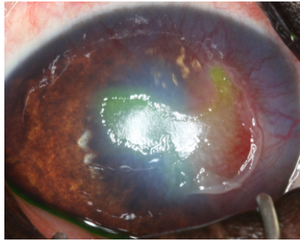
The owners opted to forgo diagnostic testing but accepted treatment of the presumptive diagnosis.

Test your diagnostic skills by examining the following images and selecting the answer you think fits best.

Published: July 1st 2020 | Updated: