
Continuing chronicles illuminating repair techniques used in this particularly challenging case.

Continuing chronicles illuminating repair techniques used in this particularly challenging case.

Early recognition and correcton can prevent this potentially career-ending pathology.

When veterinarians think about tooth resorption, the image is generally of a feline patient.

National Report - Pain. Numbness. Weakness. Palpitations. These symptoms can be indicative of a variety of conditions, but sometimes the accurate diagnosis is bartonellosis.

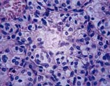
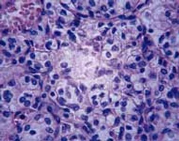
Do we all interpret cytology findings the same way?

National Report - Bartonellosis: It's no longer considered a self-limiting disease, and for some people chronic infection can be as debilitating and hard to diagnose as Lyme disease.

A Q&A with Dr. Ronald McLaughlin, a specialist in orthopedics, gait analysis and biomechanics.

National Report - Her medical battle with bartonellosis lasted for years. Ironically, it took a horse throwing her, fracturing her shoulder, for physicians to make an accurate diagnosis.

How to recognize problems and implement appropriate client interventions.

Antibiotic therapy is an important component of treating infections, but its efficacy depends on achieving adequate tissue concentrations at the infection site.

Study results indicate possible need for testing in these patients.

Buckinghamshire, UK - A new research project shows that genes classified as mucins may regulate mucous proteins and change over the course of equine respiratory disease.

Bartonella species, their animal hosts, and potential vectors are being identified at a snowballing rate. Learn the risk this poses to you and your patients.

Lack of efficacy to heartworm preventives remain geographically limited.

A variety of parasites affect the gastrointestinal tract of New World camelids. Some of these are unique to camelids, but many also infest or infect ruminants, other domestic animals, cervids, or other wildlife as well. As a rule, parasitic infections are more associated with ill thrift than more specific and overt signs of GI disease, such as diarrhea or colic, but as such, they are among the most common causes of poor-doing in domestic camelids.

Maybe this doesn't really fit "common" but it is always interesting to hear about cases. The main thing about rabies in cattle (and other species) is that signs are quite variable and inconsistent. Certain signs should be "red flags" for bovine rabies. Oftentimes cattle with rabies will have some history of hindlimb ataxia, weakness, or paralysis (this in itself is typical of many bovine diseases but for cattle exhibiting these signs, rabies should be considered).

Bovine viral diarrhea virus (BVDV) is one of the most important infectious agents of cattle. The annual economic loss caused by BVDV is difficult to quantify but certainly is significant. The insidious nature of BVDV combined with the biology of the virus and complex disease pathogenesis has made control and prevention of this virus challenging.

The most common reason for anemia in the small ruminant is internal parasitism. Hemonchus contortus (the barber pole worm) is a voracious bloodsucker that typically resides in the abomasum. The condition may occur in both young stock and adults alike. With the ever increasing issue of parasite resistance, practitioners will be faced with the severely anemic small ruminant. Providing that there are no other serious disease conditions, these cases can have successful outcomes.

Mastitis is considered one of the most costly diseases of dairy cattle and one of the most common reasons for antibiotic treatment on dairy farms. There are numerous treatments (both antibiotic and non-antibiotic) for clinical mastitis.

The development and effectiveness of the standard milking time hygiene practices and dry cow therapy were established in the 1960's. Because of the effectiveness of these practices, mastitis has evolved on many farms to primarily environmental rather than contagious pathogens. The purpose of this article is to perform a literature review (especially trying to find studies published after the year 2000) as to the effectiveness of the various mastitis control practices in today's progressive dairy farm.

More than 60 years ago an enteric disease of cattle was described in North America that was characterized by outbreaks of diarrhea and erosive lesions of the digestive tract. The disease was called bovine viral diarrhea virus or BVD. The virus causing BVD was named bovine viral diarrhea virus (BVDV).

The fed camelid supplies most of its body energy needs through the short chain fatty acid products of gastric fermentation. These are made in roughly the same proportion as in ruminants on similar diets, with the difference that the camelid gastric wall does not appear to convert butyrate to its ketone form. Short chain fatty acids may be oxidized by most tissues.

More than 60 years ago an enteric disease of cattle was described in North America that was characterized by outbreaks of diarrhea and erosive lesions of the digestive tract.17 The disease was called bovine viral diarrhea virus or BVD. The virus causing BVD was named bovine viral diarrhea virus (BVDV).

Mycobacterium avium subspecies paratuberculosis (MAP), the causative agent of Johne's Disease (JD), is prevalent worldwide. The NAHMS Dairy 1996 study, estimated 21.6% of the dairy herds in the US were infected with MAP, resulting in annual economic losses for the dairy industry of $200-250 million.

The advantage of contrast studies is that they highlight and allow assessment of the tissue-contrast interface, and allow assessment of the size, shape, location and patency of various viscera. Contrast can be used to locate structures not apparent on survey films, such as masses, obstructions, and foreign object.

The goals of fluid therapy in camelids are similar to those in other species. The mechanics and details are somewhat different. Of the possible routes, oral and intravenous are the major routes used to correct problems of hydration. Subcutaneous, intraperitoneal, and intraosseus administration all have specialty applications, but are not useful or necessary in most situations.

The majority of food animal veterinarians do their best to make the most appropriate decisions for their clients' livestock. But there are times when we simply don't know what the best decision is. Likewise, there are times when a "new" procedure or "new" product is suggested by the client or one of our colleagues that we are unaware of or have not tried. Problem solving requires the use of multiple sources to educate oneself about the particular problem.

Dealing with a sick cria and an anxious client can be quite daunting at times. This task becomes less daunting when one understands the main problems and how to manage them. Neonatal crias are typically admitted to the UT College of veterinary medicine due to prematurity/weakness/inability to stand, suspected or real failure of passive transfer (FPT), and septicemia.

The issue of disease transmission between species is nothing new. Veterinarians have always been aware of the potential risk of wildlife being a source of disease transmission to livestock. A classic example is transmission of Leptospirosis species from wildlife to cattle via urine contamination of the environment.

Shelters are moving hundreds of animals from place to place to avoid euthanasia, but veterinarians warn of infectious disease issues.