
Study results indicate possible need for testing in these patients.

Dr. Lyman is a graduate of The Ohio State University College of Veterinary Medicine. He completed a formal internship at the Animal Medical Center in New York City. He is a co-author of chapters in the 2000 editions of Kirk's Current Veterinary Therapy XIII and Quick Reference to Veterinary Medicine. He is founder and president of the Animal Emergency and Referral Center in Ft. Pierce, Fla., providing speciality referral services and crital care to small animal patients since 1984.

Study results indicate possible need for testing in these patients.

In a recent publication (Walter, R., Dunn, M.E. et al. Nonsurgical resolution of gallbladder mucocele in two dogs. JAVMA, Vol 232, No. 11, June 1, 2008), the authors describe medical resolution of gallbladder mucoceles in two canine patients.

Hypertriglyceridemia refers to a fasting plasma triglyceride measurement that is increased, typically above the 95th percentile for age and animal species. Hypertriglyceridemia can be divided into primary and secondary forms.

Increased ACTH secretion from the pituitary gland is the most commonly recognized cause of canine hyperadrenocorticism (HAC).

The incidence of GER increased with a rising dose of preanesthetic morphine.

The definitive diagnosis of GME rests with CNS histopathologic sampling.

Pericardial effusion (PE) is in the list of differential diagnoses when a patient presents with weakness or collapse, weak pulses and muffled heart sounds.

Canine Wobbler syndrome is called by many other names depending on the training background of the clinician discussing the subject.

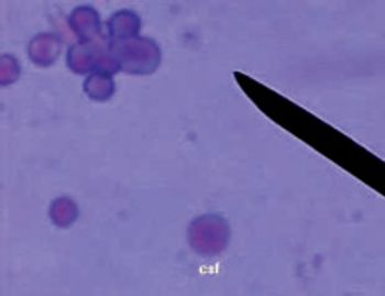
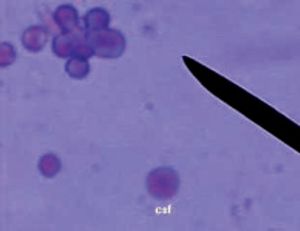
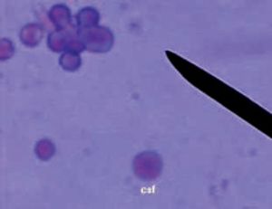
Clinicians tend to count on histopathological findings as the cornerstone in their diagnostic and therapeutic plans.

Canines and felines with diabetes mellitus require a considerable investment in time for both the client and clinician.

Published: August 1st 2009 | Updated:

Published: April 1st 2009 | Updated:

Published: November 1st 2008 | Updated:

Published: May 1st 2005 | Updated:

Published: February 1st 2005 | Updated:

Published: April 1st 2004 | Updated: