
Part 4 in a series on understanding the disease progression of abnormal hoof anatomy.
Andrea E. Floyd, DVM, has specialized in equine podiatry for more than 25 years. She is the owner of Serenity Equine, Evington, Va., and the author of Equine Podiatry. Dr. Floyd is a member of the American Veterinary Medical Association, American Association of Equine Practitioners and the American Farriers Association.

Part 4 in a series on understanding the disease progression of abnormal hoof anatomy.

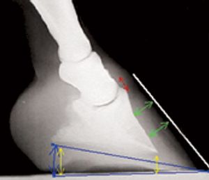
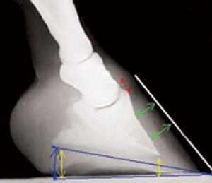
Solving the mathematical needs of a Grade IV laminitic foot.

How to meet the mathematical needs of the higher grades of laminitis.

The mathematical needs of lower grades of laminitis.

Puncture wounds of the sole in horses can range from simple to complex-even life-threatening-depending on the area of penetration.

One practitioner's 13-step protocol to help horses suffering from this painful condition.

Early recognition and correcton can prevent this potentially career-ending pathology.

Published: May 1st 2012 | Updated:

Published: February 1st 2011 | Updated:

Published: March 1st 2012 | Updated:

Published: November 29th 2011 | Updated:

Published: November 1st 2011 | Updated:

Published: June 1st 2011 | Updated: