
Medical


As the exclusive veterinary media partner for Dr. Marty Becker's Big Bus Tour, dvm360 scored this interview about pets, the profession, and the power he sees veterinarians wielding.

This revolutionary identification system may be coming soon to a horse paddock near you

Columbia, Mo. - While Dr. James Cook decided early on in life to tackle joint replacements, it was a circuitous route-a path that involved professional water skiing, substitute teaching and a man named Robert Gordon-that led him to the brink of a major discovery.

A look at dermatologic disorders associated with endocrine disease.

Las Vegas - Presenters at the inaugural "Summit of the Horse" in January agree that something needs to be done with unwanted horses. But whether that solution includes reopening U.S. horse processing facilities remains to be seen.

Phoenix, Ariz. - Kennel operators will be required to microchip all dogs over the age of 3 months in order to get a kennel permit in Arizona if new legislation is passed.

A slobbering horse can signify anything from mild to serious, even fatal disease.

How to diagnose and effectively treat GI obstructions.

Photo gallery: The top 10 veterinary schools in America

You're taking "BizQuiz: Should you share this gossip?" Good luck!

A Q&A with small-animal oncologist specialist Dr. Stephen Withrow.

Learn about the multiple options available to treat this condition.

The arsenal of treatments available for patients with deep-seated glial tumors continues to grow.

Equine genital cancer, the second-leading cause of cancer in horses, may be triggered by a newly identified papillomavirus, known as EcPV-2.

Dr. Mark Epstein reviews local blocks and strategies for effective administration.

The extremely rapid rate of growth of these lesions and the generally fatal outcome in these cases makes remembering this disease crucial for equine practitioners since early recognition and appropriate treatment are the only hope for survival for infected horses.

Although it might seem logical that geriatric horses would show decreased survival rates compared with younger, mature horses, recent studies show this may not be the case.

Okemos, Mich. - A Brucella canis outbreak in Michigan should not be pinned on venereal transmission, cautions the Michigan Veterinary Medical Association (MVMA).

FDA recently issued a consumer alert about the risks associated with xylitol ingestion by dogs and ferrets.


Rockville, Md. -- The Food and Drug Administration (FDA) reports there will be a shortage of Vetsulin (porcine insulin zinc suspension), a product used to treat diabetes mellitus in dogs and cats.

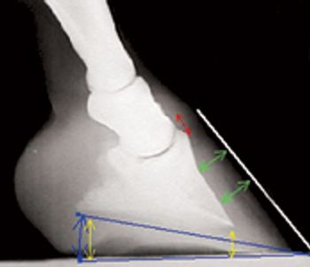
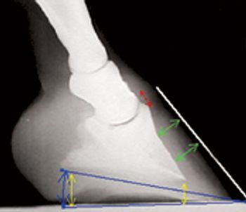
One practitioner's 13-step protocol to help horses suffering from this painful condition.

The NASC seeks to protect and enhance the integrity of the animal health product industry.

This breeding technique can help with both mare and stallion management.

A Q&A with canine physical rehabilitation expert Darryl Millis, DVM.

Dr. Carl Osborne discusses how adverse events are often caused by miscommunication.

Hundreds of skin diseases affecting domestic dogs have been recognized and reported. Here's how to sort through them.

Adopting a pain management culture can benefit all stakeholders involved in patient care.
