
Welcome to laser therapy 101 covering the basics of treatment areas, treatment time and dosages.

Welcome to laser therapy 101 covering the basics of treatment areas, treatment time and dosages.

The compound, derived from fertilized egg yolk, was studied in a randomized, double-blinded, placebo-controlled study at Kansas State Universitys College of Veterinary Medicine.

Sharing of information leads to success stories.

Its the time of year to reflect on those whove shaped our lives as veterinarians, Dr. Brock says.

Specialist says localized and minimally invasive is where it's at.

When cats in your practice have degenerative joint disease (and the majority do), are you recognizing the related pain and debilitation? Your TLCan accurate diagnosis, multimodal management and simple environmental modificationscan bring comfort to these cats and their owners.

Epidemiologist Dr. Missy Simpson shares the first prospective research from the Morris Animal Foundation's Golden Retriever Lifetime Study.At Fetch dvm360 conference in Kansas City, Missy Simpson, DVM, PhD, epidemiologist for the Morris Animal Foundation's Golden Retriever Lifetime Study, presented "Gold-mining clinical insights from the Golden Retriever Lifetime Study-3,000+ dogs strong and six years along."Solid Goldies

Two-year-old Bengal cat named Fridgey is recovering well.Image courtesy of Lauren Bruce.

A recent study challenges the use of tramadol for canine osteoarthritis.

I learned first-hand this year how hard these injuries are for pets and their owners.

Use this printable handout to help veterinary clients understand what's happening with their pet's joint, and how it can be repaired.

Try this overview of surgical repair options to brush up your knowledge.

People ask me why I pay to volunteer to provide veterinary services thousands of miles from home. My simple answer? Because it makes me feel good.

Commonly prescribed drug not associated with improvement when compared with NSAID.

Our article collections will get you up to speed on these sometimes glossed over topics in veterinary school.

Well, a LOT of pennies for your thoughts. As in, well pay you for the brilliant problem-solving ideas youve come up with within the veterinary world.

My secrets to success? Exercise, great mentors and time-outs.

Whether its a tip for studying, saving money or just plain ol destressing, we want to hear and share them with fellow students like you!

Here's our regular rundown of new and notable veterinary products.

Large-breed dogs need a little extra TLC sometimes. Here are three products to make their lives easier.

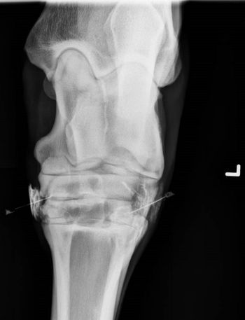
Are you an X-ray expert? Test your skills with this case of an unsteady standard poodle pup.

Many clients want the easiest or cheapest solutionbut its not that simple, says Dr. David Dycus. Each decision has to be made on a case-by-case basis.

Canine hip dysplasia and the secondary arthritis it causes can be a tricky treatment to navigate. Heres an in-depth look at what to do when your veterinary patients hips swing like Marilyn Monroe.

Are your veterinary clients curious about why you recommend joint supplements for their pets with this painful condition? Here are the answers they're looking for.

This year's Banfield Pet Hospital State of Pet Health Report highlighted the growing problem of pet obesity. Nestled in the numbers were a few diseases Banfield saw were the most common obesity comorbidities among canines.