
I made a scary life choice to start my own concierge practiceand I've never been happier. Here's are four tips I've learned along the way.

Dr. Jennifer L. Wardlaw, pictured with her bullmastiff Emma Corilata, is a concierge surgeon at Gateway Veterinary Surgery in St. Louis, Missouri.Little known fact: Dr. Wardlaw says she isn't afraid to binge watch cartoons, even when her kids aren't around.

I made a scary life choice to start my own concierge practiceand I've never been happier. Here's are four tips I've learned along the way.

This veterinary surgeon sees two diseases overlooked in limping puppy cases. Watch those radiographs!

Painful and debilitating for patients, expensive versus less effective repair options for clients, WAY too many recommended surgical approaches for you. Are you limping toward the best plan?

No, there is no cookie-cutter method to treating this injury in dogs. But here are a few pointers to make your decision process a little easier.

Take a multimodal approach to arthritis and get cats back to their fine feline ways.

From cats chasing laser pointers to easing the pain of osteoarthritis, no one can deny that lasers are becoming widely accepted. If you are considering adding this modality to your treatment offerings, were shining a spotlight on this cutting edge remedy with the help of Jennifer Wardlaw, DVM, MS, DACVS-SA.

Veterinary surgeon Dr. Jennifer Wardlaw reveals her top nightmare scenarios in the surgical suite.

Which dogs are most at-risk and preventive measures you and your veterinary clients can be taking.

Save a life! Share these videos with your clients with dogs at-risk for GDV.

You don't have to go out on a limb to minimize stress during orthopedic exams.

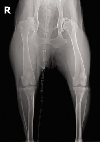
It can be difficult to differentiate between these two orthopedic problems. Luckily, the sit test, among other diagnostic evaluations, can help.

Trying to determine whether a patient has hip dysplasia or a cranial cruciate ligament tear? Here's why sedation may be called for.

Dr. Jennifer Wardlaw presents findings from the latest research on this life-threatening condition in dogs.

A fairly recent study* showed that 32% of dogs referred to a surgeon for hip dysplasia treatment had, in fact, a torn ACL.

Stop infection and speed healing with these wound cleaning and bandaging strategies for veterinarians.

Treatment depends on the stage of recovery.

A new crop of board-certified specialists are bringing top-notch care and convenience to veterinary practices across the country.

Small changes in your routine can make a big difference in keeping infection at bay in your surgical suite.

Dr. Wardlaw discusses some therapeutic alternatives to get orthopedic patients comfortably back on their feet.

Approach new techniques with certainty following this expert guidance.

Dr. Jennifer Garcia outlines practices you can use in your practice to minimize nosocomial infection during surgery.

Feline osteoarthritis (OA) is a growing problem in our veterinary patients. We are discovering that it has been around and under diagnosed for years.

Panosteitis is an acquired self-limiting condition of undetermined cause that affects the diaphyseal and metaphyseal regions of the long bones of young, large breed dogs.

Cranial cruciate ligament rupture is a common cause of hindlimb lameness in dogs and is seen in cats as well.

At birth the hips are normal. The femoral head and neck are cartilaginous and begin forming bone by endochondral ossification.

Coxofemoral luxation is the most commonly luxated joint in dogs, accounting for 90% of all luxations. It is usually the result of trauma or severe hip dysplasia with 78% being craniodorsally luxated.

At birth most hips are normal. The femoral head and neck are cartilaginous and begin forming bone by endochondral ossification.

Physical rehabilitation is becoming a common place therapy in veterinary medicine. Several benefits have been proven and continue to be elucidated.

Published: October 22nd 2013 | Updated:

Published: December 1st 2013 | Updated:

Published: March 1st 2014 | Updated:

Published: February 26th 2014 | Updated:

Published: September 19th 2013 | Updated:

Published: December 31st 2014 | Updated: