
Veterinary behaviorist Dr. Julia Albright shares tips for helping senior pets live their best lives, and helping clients through difficult periods of clinical signs like nighttime waking.

Veterinary behaviorist Dr. Julia Albright shares tips for helping senior pets live their best lives, and helping clients through difficult periods of clinical signs like nighttime waking.

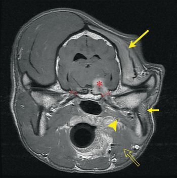
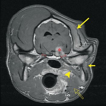
Max presented with unilateral temporalis muscle atrophy but also with changes to his saliva. Lets investigate what's behind it.

The my cat doesnt go outside excuse wont cut it anymore. Heres how to convert those resistant veterinary clients.

What new or updated treatment protocols, formulations, food or drugs are now available or on the horizon to treat seizuresthose coughs of the brainin your veterinary patients?

Seizures are largely unexpected, and largely scary to pet parents. This handout covers the how and why as well as what to do in the event of a seizure.

Have this handout handy by your veterinary clinic's phones to keep everyone calm and carrying on with the best steps to ensure your veterinary patients get the measures they need.

Whether its a tip for studying, saving money or just plain ol destressing, we want to hear and share them with fellow students like you!

A recent study proposes the first-ever molecular model for the cause of rabies infection-associated behavior.

Dr. Andy Rollo examines his own debut into veterinary practice to pinpoint areas he wished hed known more about before diving in.

Old age isn't a disease. Let your veterinary clients' own aging dog help them see cognitive, pain and joint issues that can be helped.

For starters, it can make you a veterinary detective/fortune teller/superhero who practices better medicine while making more money.

EPA shift away from anticoagulant rodenticides means increased exposure to neurotoxin with no known antidote.

Labeling error leads to product withdrawal due to potential for patient harm.

Score a touchdown with veterinary clients by getting affected dogs back safely on all fours with less monetary investment.

Many people mistakenly think Doberman pinschers, which have stood alongside soldiers and police officers, arent in need of attention and affection. But being misunderstood isnt the breeds only dilemma. Here are five common Doberman pinscher problems veterinarians should know.

The brain-a dense and intricate collection of neurons and glial cells that controls all things. When tumors invade-even the covering of the brain, the meninges-it seems an especially sinister form of cancer. The team at the University of Tennessee helped extend this dog's life by using the latest information on meningioma management.

Without cold, hard lab numbers and clear scientific proof, diagnosing neurologic conditions in your veterinary patients can be tough to describe, and without owner buy-in, they can be tough to treat. However, a recent review provides a starting point for providing clients with objective evidence.

A team from UC Davis helps a border collie recover after her skull was dislocated from her spine.

Deck: Guidance on the best practices for treating your veterinary patients with this neurologic disorder.

At one time, veterinary spot-on topical fipronil formulations for dogs and cats were recommended for extralabel use in rabbits, but no more. Exposure to these products can cause life-threatening signs in rabbits.

Never call Dr. Richard LeCouteur an amygdala! Here's why.

What happens in the amygdala stays in the amygdala.

Crinkling paper. Clinking glasses. Even deaf cats with a newly defined epileptic syndrome can suffer neurologic effects when exposed to sounds such as these.

An overview of the conditions associated with auditory problems in foals and adult horses.

An overview of our current understanding of feline epilepsy, including diagnostic testing and treatment.Why they did itThere is a lack of scientific literature about epilepsy in cats, and much of the terminology as well as diagnostic and treatment recommendations have been extrapolated from experience with dogs and people. This article reviews the available literature and provides an overview of our current understanding of feline epilepsy, including diagnostic testing and treatment.Overview