
As in human dentistry, veterinary dentistry uses a combination of power and hand instrumentation.

As in human dentistry, veterinary dentistry uses a combination of power and hand instrumentation.

Other than cost, one of the most commonly used excuses for not having a dental radiograph unit is the lack of information or training available on reading and diagnosing dental radiographs.

There are three common head shapes in the dog and cat.

Resorption of the teeth can be either external or internal. Internal resorption occurs when the tooth has been traumatized causing an inflammation of the pulp.

This session will deal with the commonly seen neoplasms of the oral cavity and those conditions that look like tumors but arise from an outside source.

The creation of a successful dental profit center requires the following: creating a dental team and establishing its oral disease philosophy, educating all the team members and finally marketing the product albeit educating the clients in order to accept the clinic's treatment recommendations.

Periodontal disease begins as an infiltrate subjacent to the epithelium of the gingival margin and rapidly extends throughout the marginal gingiva to affect the connective tissue underlying both the oral and the sulcular epithelium.

Although human orthodontics can be traced back to 1000 B.C., veterinarian orthodontics has just recently evolved.

There are considerable anatomical differences in dental anatomy and physiology between guinea pig-like, rat-like and squirrel-like rodents.

Maxillo-facial injuries resulting from hit-by-car trauma can result in both soft and hard tissue damage.

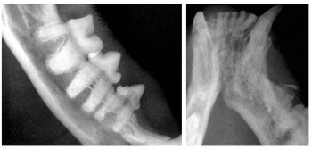
Radiographs produced without distortion are of great use in dentistry and are far easier to interpret than those with superimposed, foreshortened or elongated images.

Based on the history, oral examination and radiographic documentation the working diagnosis is made and a subsequent treatment plan is initiated. An attempt at classifying the underlying etiology of the disease is made.

Dental disease is common in pet rabbits and can produce a wide range of clinical signs and symptoms.

The term "Oral Exam" usually denotes to most practitioners elevation of the patient's lips on the exam table and observing the pathology present.

Vital Pulpotomy is the treatment of choice when treating healthy, freshly exposed pulp in immature animals where the root apex is still open and the dentine wall is thin.

There are many techniques currently employed for mandibular fracture repair.

The success of bone augmentation in periodontal therapy has advanced at an accelerated rate in the past few years.

When a dog or cat presents with lethargy or pale mucous membranes and anemia is suspected, the ultimate treatment and prognosis starts with successfully categorizing the problem.

Topeka, Kan. - 12/4/07 - With oral disease marking the most frequently diagnosed health problems for pets, National Dental Health Month kicks off in February.

Twenty-nine days just aren't enough to get all of your clients on board with dental care. So let's promote dental health for pets year-round with a program to raise awareness.

Six of the most common agents used for managing pain associated with oral surgery in dogs and cats will be discussed in this third article of a series on pain management. They are the opioids (opiates), the Cox-2 selective non-steroidal anti-inflammatory drugs (NSAIDS), the 5-Lox selective NSAIDs, the alpha-2 agonists, the NMDA-receptor antagonists and the serotonin norepinephrine reuptake inhibitors.

Austin, Texas - A consortium of lay equine dentists and their clients lost the first round of legal battles with the Texas Board of Veterinary Medical Examiners (TBVME).

Dr. Niemiec illustrates how to obtain dental radiographs using the correct bisecting angle.

Dr. Niemiec demonstrates the right positioning for obtaining dental radiographs of the maxillary canines.

Dr. Niemiec demonstrates how to avoid errors of vertical angulation when taking dental radiographs.