
Is hyperplasia reversible, and, if so, how many weeks or months does it take?

Is hyperplasia reversible, and, if so, how many weeks or months does it take?

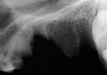
This is the first article in a series of case presentations designed to address a variety of oral conditions and discuss the pathophysiology involved.

A law passed last fall that made it a felony for a non-veterinarian to practice equine dentistry has essentially been overturned.

For the last six months, I have been treating a 15-year-old castrated male domestic shorthaired cat with an isolated oral lesion.

For nearly 20 years, equine dentistry has been considered a veterinary act in Oklahoma.

The veterinary profession is undergoing unprecedented change due to a global economic downturn. Clients want high-value services. Veterinary dentistry is one of them.

A Purdue study has shown a higher incidence of heart disease in dogs with bad gums.

Nashville, Tenn. -- Nutro Products Inc., the makers of Greenies(r) treats, announced April 8 that the Greenies line now will be sold exclusively through veterinary hospitals and pet specialty retailers.

Oral tumors account for approximately 6% of all malignant tumors in dogs with malignant cancer of the mouth and pharynx occurring 2.6 times more frequently in dogs than cats.

Treating teeth with periodontal disease is a regular practice at most veterinary clinics.

As members of the veterinary team, there have been instances where you have had to fix things using materials out of the hospital.

There are 3 common head shapes in the dog and cat.

When working up inflammatory diseases in the cat, it is important to know that at various stages of the disease process, they can display pathogenic behavior that is similar when compared to one another.

The diagnosis and treatment of oral trauma includes the management of jaw fractures and the management of temporomandibular luxations.

Esophagostomy tubes are an option when long term nutritional support is necessary.

A variety of dental lesions can occur as a result of chronic wear or acute trauma including severe dental attrition, fractured teeth, subluxated teeth, avulsed teeth and jaw fractures.

As veterinary technicians we will usually be assisting the doctor with restorative procedures.

Anorexia is a common presenting complaint and dental disease should be considered in any rabbit that presents for anorexia.

We take before-and-after photos of all our dental patients, so clients can see how much the procedure improved their pets' teeth.

Developed in conjunction with Jan Bellows, DVM, DABVP, DAVDC, the first modules in this video educational series include dental charting, cleaning and polishing teeth, dental X-rays, educating clients about dental care at home, and preparing a take-home dental care kit. (1 CE credit)

Geriatric veterinary patients have a variety of health care needs. Topping the list is the need for thorough physical and oral examinations.

This online CE seminar features John F. Huff, DVM, FAVD. (0.5 CE credits)

Enhance your dental practice-an important profit center. This CD-ROM is a professional development program that will suit both veterinarian and veterinary technician/nursing staff. (3 CE credits)

What types of cases do you find most professionally gratifying?

This on-demand course is an intensive study of modern dentistry techniques for dogs and cats. (13.5 CE credits)