
Traumatic fragmented medial coronoid process (TFMCP) is a condition in the elbow joint of dogs that appears to occur commonly in performance dogs.

Traumatic fragmented medial coronoid process (TFMCP) is a condition in the elbow joint of dogs that appears to occur commonly in performance dogs.

This text is not intended to cover each and every aspect relating to wounds presented in veterinary medicine. It is, however, designed as a simplified handbook, which will assist members of the veterinary medical team in properly assessing patients and their wounds.

Gastric dilatation volvulus syndrome is an acute medical and surgical condition due to several pathophysiological effects occurring secondary to gastric distension and mal-positioning. It occurs most commonly in large, deep chested dogs.

Elbow dysplasia is a collective term for the developmental orthopedic diseases of the canine elbow. Traditionally, it refers to ununited anconeal process (UAP), osteochondrosis of the humeral condyle (OCD), and fragmentation of the medial coronoid process (FCP).

Juvenile orthopedic diseases are a common cause of lameness and discomfort in young animals. A patient's signalment, history and complete physical examination are necessary to localize the disease, establish differential diagnoses and develop a diagnostic plan.

Hip dysplasia is the most common developmental orthopedic disease in dogs. First described in the 1930's, it continues to affect millions of dogs worldwide. Large breed dogs are most commonly diagnosed, however small breed dogs and cats also are affected.

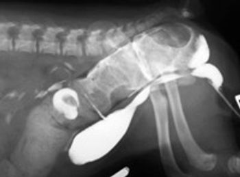
Cryptorchism is defined as the failure of one or both testicles to descend into the scrotum. The cryptorchid testicle can be located anywhere along the path from the area of fetal development of the gonads (just caudal to the caudal pole of the kidney) to the subcutaneous tissue between the external inguinal ring and the scrotum.

The thoracic cavity is lined entirely by a serous membrane known as pleura. The pleura is divided into visceral pleura which covers the lungs and parietal pleura which covers the remaining thoracic cavity.

Juxta-articular fractures are fractures occurring near the joint surface. They may be intra- or extra-articular.

Surgical complications are always a possibility in spay/neuter surgeries, but certain practices can help minimize problems. Obviously, prevention of complications is the best approach, but early recognition of problems and effective management of problems are the keys to ensuring excellent patient care and successful recovery from surgery.

Nutritional support is required for anorexic patients, debilitated patients, patients in a high catabolic stage (peritonitis, sepsis, burns), or stressed patients (surgical patient). Nutritional support allows a faster soft tissue healing, a better immune system response and a faster recovery from the patient.

Gunshot wounds can be a common injury in veterinary medicine varying from shotgun and rifle injuries in rural areas to handguns and air powered weapons in cosmopolitan areas. The severity of injury resulting from gunshots is variable as well based on the type and composition of the bullet, the projectile (flight) characteristics, kinetic energy absorbed on impact and tissues involved.

Diseases of the salivary glands in dogs are usually inflammatory, neoplastic, or traumatic. Inflammation of the salivary glands is seen occasionally in dogs and cats.

Eyelid function is important in maintaining the health of the cornea and globe. Eyelids distribute tears over the corneal surface, remove foreign bodies from the surface of the eye, control the amount of light entering the eye and protect the globe from trauma.

Patella luxation is a common orthopedic condition in dogs. It may cause varying degrees of lameness, pain, and progression of osteoarthritis. It is most commonly diagnosed in small breed dogs, however large breed dogs are also affected.

The small intestine is composed of four layers of tissue, the tunica mucosa, tunica submucosa (provides the main holding power in the intestine), tunica muscularis (the inner circular layer and outer longitudinal layer), and tunica serosa, it is important to be able to differentiate between the small and large intestine.

The stomach is a C-shaped musculoglandular organ. It has the largest dilatation of the alimentary canal.

The entire urethra is lined with transitional epitheliurn with the exception of a small amount near the tip of the penis or urethral tubercle. Urethral muscle is composed of an inner longitudinal layer of smooth muscle and an outer transverse layer of skeletal muscle that are separated dorsally by a longitudinal raphe.

Gastrointestinal surgery is performed very commonly in small animal for biopsy, removal of a foreign body, upper gastrointestinal bleeding, resection of a necrotic segment of intestine, resection of necrotic portion of the stomach, and resection of a neoplasia.

The pinna of the ear is examined for scratches, hair loss and swelling. The external ear canal that is visible to the naked eye is examined for redness, swelling, and mats of hair and waxy material.

Brachycephalic breeds (Shih Tzu, boxer English and French Bulldog, Pekingese, pug and Boston terrier) have a shortened skull compared to the other breeds. Compression of the nasal passage and distortion of the pharyngeal tissue result in an increase in airway resistance.

The lens is composed of crystalline fibers specifically arranged to allow light rays to transilluminate through the lens to the retina. The lens focuses light rays on the retina.

Corneal surgical techniques available for use in veterinary medicine are reviewed. Surgeries discussed include linear grid keratotomy, multiple superficial punctate keratotomy, diamond burr superficial keratectomy, thermokeratoplasty, keratectomy, conjunctival graft placement (pedicle, island, bridge, advancement, etc.), corneoconjunctival transposition flaps, penetrating and lamellar keratoplasties (corneal transplants), biosynthetic graft placement (A-cell, BioSist), and amnion graft placement.

Cranial cruciate ligament (CrCL) rupture is the most common cause of hindlimb lameness in dogs. Treatment of CrCL injury is an integral part of veterinary orthopedic practice, and represents a $1.23 billion/yr industry in the United States.

Total knee replacement is a treatment option for nonseptic advanced osteoarthritis and irreparable traumatic injuries when medical management is no longer adequate, reconstructive surgery does not have a good prognosis and arthrodesis and amputation are the other options.