
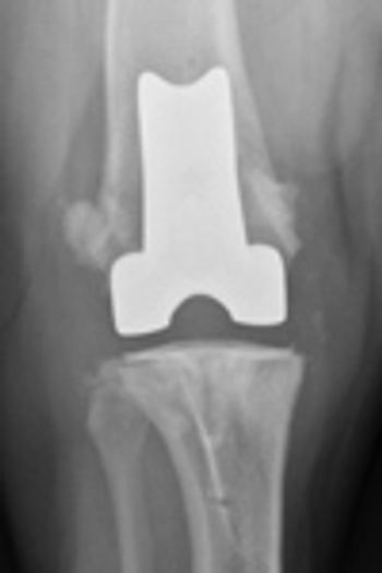
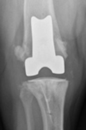
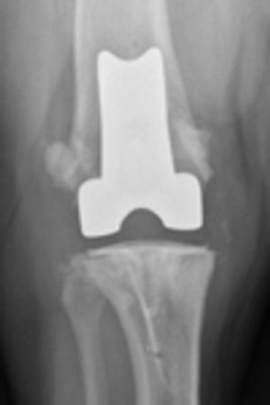
Total knee replacement is a treatment option for nonseptic advanced osteoarthritis and irreparable traumatic injuries when medical management is no longer adequate, reconstructive surgery does not have a good prognosis and arthrodesis and amputation are the other options.


