
Walking sutures are tension-type sutures that can be used to close large skin defects in areas where sufficient skin surrounds the wound that can be moved or stretched to close the wound.


Walking sutures are tension-type sutures that can be used to close large skin defects in areas where sufficient skin surrounds the wound that can be moved or stretched to close the wound.

Alexandria, Va. -- The National Association of Veterinary Technicians in America (NAVTA) has announced a new specialty, the Academy of Veterinary Surgical Technicians.

East Lansing -- Michigan State University (MSU) College of Veterinary Medicine (CVM) will stop using live animals in terminal procedures to train veterinary students in surgical techniques beginning with the fall 2010 semester.

A 9-year-old 46.2-lb (21-kg) spayed female mixed-breed dog was presented to the ophthalmology service at Colorado State University for evaluation of incisional infection and delayed healing after bilateral entropion surgery.

Atresia ani is a congenital embryological anomaly in which the hindgut fails to fully communicate with the perineum.

In dogs, Staphylococcus pseudintermedius (formerly recognized as S. intermedius) is the most common resident organism of the skin and the most common cause of canine pyoderma.

Breaking through to Iva Granite-Head.

A full-thickness mesh graft is a sheet of skin that includes only the epidermis and the entire dermis and is fenestrated to allow for expansion and drainage.

In this five-part video, Dr. Steven Swaim demonstrates how to place full-thickness mesh skin grafts.

Washington-Awards granted to veterinarians.

I found an easy way to make a small, lightweight, affordable, and portable tomcat castration positioner.

A collaborative column between the American College of Veterinary Surgeons and DVM Newsmagazine.

Fort Collins, Colo. -- A 15-member veterinary surgical team at Colorado State University (CSU) recently fit two artificial limbs on yearling calf.

We used to have a problem with the sticky residue left on our surgical packs and drapes from the autoclave tape.

Harness the holiday spirit to educate clients on pet health.

When an endotracheal tube gets pulled out by the weight of the tubing, it can wake up your patient and potentially traumatize the patient's trachea if the cuff is inflated.

Using ultrasound guidance to perform fine-needle aspiration biopsy is preferred for tumors of the neck.

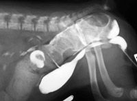
Juvenile pubic symphysiodesis (JPS) surgery is a prophylactic procedure performed in puppies 10 to 20 weeks of age that have been diaqnosed with hip dysplasia as discussed in last month's column.

Germantown, Md. -- The American College of Veterinary Surgeons (ACVS) honored several surgical residents for publication in Veterinary Surgery and for presentation of scientific research in poster format and at the Residents' Forum.

Surgical exploration of the abdomen is performed for diagnostic, therapeutic, and prognostic purposes.

The respiratory system of birds is significantly different, both physiologically and anatomically, from that of mammals.

Foreign body (FB) ingestion is particularly a problem in ferrets less than one year of age. Young ferrets enjoy chewing on and ingesting soft rubber such as latex or foam rubber, cork, and occasionally cloth material.

The upper airway distress syndrome is composed of thee individual conditions that cause animals to have moderate to sever inspiratory dypnea.

A simple ventral midline celiotomy provides limited exposure to most abdominal organs in birds. The liver, pancreas and intestines are accessible through this approach.

A simplified handbook, which will assist members of the veterinary medical team in properly assessing patients and their wounds.