
Newport, N.J. - The Winn Feline Foundation, a non-profit that funds feline medical research, is accepting applications for 2008 grants, which can total up to $15,000 each.

Newport, N.J. - The Winn Feline Foundation, a non-profit that funds feline medical research, is accepting applications for 2008 grants, which can total up to $15,000 each.

Hyperlipidemia is the increased concentration of triglyceride (hypertriglyceridemia), cholesterol (hypercholesterolemia), or both in the blood.

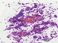
Salivary mucoceles are formed by the extravasation and accumulation of saliva in tissues adjacent to a salivary gland. The accumulated saliva incites an inflammatory response, leading to a walled-off accumulation of mucoid fluid.

Underlying causes of diabetes mellitus, a common endocrinopathy in dogs and cats, include chronic pancreatic inflammation, pancreatic atrophy, and immune-mediated destruction of the insulin-producing beta cells.

Feline onychectomy is a controversial medical procedure fueled by a growing number of critics who view it harmful and unnecessary. Many veterinarians consider the procedure a last-resort to alleviate destructive scratching behavior inherent in cats.

Linear foreign bodies are a well-recognized problem in small-animal practice.

A 12-year-old 8-lb (3.6-kg) castrated male domestic shorthaired cat was evaluated initially at Bissonnet/Southampton Veterinary Clinic followed by evaluation at Gulf Coast Animal Eye Clinic and Gulf Coast Veterinary Specialists for blindness of one month's duration.

Springfield, Mo. - Almost 200 cats were euthanized at the Southwest Missouri Humane Society (SMHS) after a suspected outbreak of the fast-spreading killer strain of calicivirus.

In this prospective study at a university veterinary hospital, 20 healthy adult cats (6 to 24 months of age) were divided into two groups and underwent left forelimb unilateral scalpel or CO2 laser onychectomy.

We use an ordinary paper cup with the bottom removed, two strategically placed holes, and some roll gauze as a muzzle for cats.

About 45% to 65% of hypercalcemic dogs and 10% to 30% of hypercalcemic cats have underlying neoplasia.

When do you prescribe cyclosporine in cats and at what dosage? Is cyclosporine helpful in treating otitis externa in dogs?

Heartworm disease manifests quite differently in cats than in dogs and has an altered infective cycle.

Columbia, Mo. - A University of Missouri (MU) veterinary ophthalmologist hopes continued research and advancement in eye-implantation technology will one day end retinal blindness for companion animals and humans.

Orlando, Fla.- Fort Dodge Animal Health reports it received licensure of CaliciVaxâ„¢, the only vaccine licensed and proven effective against the deadly virulent systemic feline calicivirus (VS-FCV), which has emerged in the United States.

Small-animal practitioners commonly evaluate patients because of foreign body ingestion, and subsequent small bowel resection is a common treatment.

Primary hypoparathyroidism is most commonly caused by the destruction or removal of the parathyroid glands.

In this article, we review the differential diagnoses in patients with hypocalcemia, the diagnostic testing to investigate clinical signs consistent with hypocalcemia, and the treatment of primary hypoparathyroidism.

To help aggressive cats and the families that own them, veterinarians must rule out medical problems, take a complete history, make a sound diagnosis, and provide sensible advice.

Contrary to popular belief, cats are not asocial creatures.

Could you review trends in feline urolithiasis in cats?

Just like this doctor, you may find the letters, photos, and mementos you receive from clients provide a critical pick-me-up when the tough days seem to outweigh the joys of practice.

MILLSBORO, DEL. - Intervet Inc. announces the introduction of Continuum? Feline HCP vaccine with a three-year duration of immunity against rhinotracheitis caused by herpesvirus-1 (FHV-1), calicivirus (FCV) and panleukopenia (FPV).

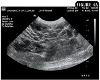
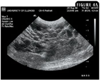
A 7-year-old 11-lb (5-kg) neutered male domestic longhaired cat was presented to its regular veterinarian for vaccinations and a wellness examination.

Metastatic, disseminated, and locally infiltrative cancers, including metastatic carcinoma, melanoma, lymphoma, hemangiosarcoma, and histiocytic sarcoma, can often affect the hepatic parenchyma.