
Fact, fiction, and speculation

Fact, fiction, and speculation

Cats handle drugs in a different fashion than dogs.

The fat feline is a problem all practitioners face.

Heartworms can sneak up on cats-and you. Prepare yourself, then use a handout to start talking prevention with clients.

Hartford, Conn. - Veterinary medicine's leaders oppose a bill that seeks to outlaw non-therapeutic cat declawing in Connecticut and strip the licenses of DVMs caught violating the ban.

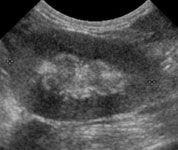
Chronic renal disease is one of the most common ultra-sonographic findings in older cats. If you're doing ultrasounds on cats, you're sure to see signs of chronic renal changes daily.

A new study examines how an accelerometer-based activity monitor may help researchers objectively measure a cat's mobility. This type of monitoring has potential in assessing the effectiveness of pain-relieving therapies for conditions such as osteoarthritis.

When an owner administers subcutaneous fluids at home, he offers the cat catnip at the same time.

Dr. C.W. Dewey gave an excellent lecture at the 2007 American College of Veterinary Internal Medicine Forum on ?Recent and Upcoming Developments with the New Anticonvulsant Drugs.?

A list of selected feline parasiticides.

Palm Springs, Calif. - The creation of cat-care guidelines for veterinarians and pet owners is the first in a series of steps aimed to reverse the trend of decreasing feline veterinary visits at a time of increasing cat ownership.

Schaumburg, Ill. - Cats get significantly less attention and veterinary medical care from their owners than dogs, according to a new study that offers statistics proving the discrepancy and looks into the reasons for it.

Davis, Ca. - 1/29/08 - New research indicates a loss of genetic diversity associated with the long-term development of foundation cat breeds - those breeds that provided the genetic basis from which modern pure breeds were developed.

How Dr. Little talks to clients about cat obesity and raw food.

Austin, Texas - The American Association of Feline Practitioners (AAFP) plans to launch what's tentatively titled The Catalyst Summit, an invitation-only conference charged with exploring how to reverse the trend of decreasing feline visits among practices while ownership rises nationally.

Frederick, Md. - Two years of scientific collaboration yields a nearly complete decoding of the feline genome, a step that will aid in the continued fight against both cat and human diseases.

Austin - 11/13/07 - The American Association of Feline Practitioners (AAFP) plans to launch what's tentatively titled The Catalyst Summit, an invitation-only conference charged with exploring how to reverse the trend of decreasing feline visits among practices while cat ownership rises nationally.

A 9-year-old male neutered domestic shorthaired cat was referred to The Veterinary Eye Clinic in Wheat Ridge, Colo., for evaluation of acute, progressive uveitis in both eyes and glaucoma in the right eye.

St. Louis, Mo. - 10/19/07 - More than 200 attendees from 22 countries gathered at the 2007 Nestle Purina Nutrition Forum, focused on feline health, including obesity and diabetes developments.

The EPA has reported a possible connection between brominated flame retardants commonly found in the home and the recent upsurge in this thyroid disease in cats.

National Report - A potential connection between feline hyperthyroidism (FH) and a flame-retardant chemical found in common household products, house dust and some food items may exist, concludes a recent Environmental Protection Agency (EPA) study.

Medicating a headstrong cat can be a challenge. However, compounding pharmacies have made the task easier by preparing many medications as flavored liquids, chewable treats, or transdermal gels.

Newport, N.J. - The Winn Feline Foundation, a non-profit that funds feline medical research, is accepting applications for 2008 grants, which can total up to $15,000 each.

Hyperlipidemia is the increased concentration of triglyceride (hypertriglyceridemia), cholesterol (hypercholesterolemia), or both in the blood.

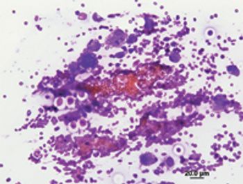
Salivary mucoceles are formed by the extravasation and accumulation of saliva in tissues adjacent to a salivary gland. The accumulated saliva incites an inflammatory response, leading to a walled-off accumulation of mucoid fluid.