
Dr. Daniel Carmichael clarifies when this important preventive procedure is truly called for.
Veterinary Medical Center
75 Sunrise Highway
West Islip, NY 11795

Dr. Daniel Carmichael clarifies when this important preventive procedure is truly called for.

Veterinary dentist Dr. Daniel Carmichael asnwers this reader query.

Dr. Daniel Carmichael helps a reader address this frustrating condition.

I have noticed that in my patients that have undergone dental prophylaxis, a yellowish calculus tends to build up along the tooth surfaces-usually within six months of the cleaning.

Our dentistry expert Dr. Daniel T. Carmichael answers this reader question.

I am caring for a 4-year-old Westie that has become aggressive. The owner has requested extraction of all four canines or euthanasia. What are your thoughts?

What is the current protocol for fluoride applications?

I have a feline patient with an upper right canine fractured at the gumline. The cat's owner cannot afford surgery. Is there anything I can do to help keep this patient comfortable?

Q: I bought a micro motor for polishing teeth. The supplier said it can also be used for burring and sectioning teeth, but it doesn't have a water supply. Should I return the unit?

Is hyperplasia reversible, and, if so, how many weeks or months does it take?

For the last six months, I have been treating a 15-year-old castrated male domestic shorthaired cat with an isolated oral lesion.

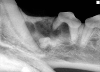
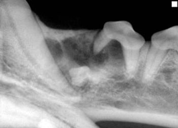
Q: How should I treat dentigerous cysts?

Q. How do you proceed when you have a cat anesthetized and find that a tooth (or teeth) you need to extract is fused to the mandible?

Daily tooth brushing is an essential part of your pet's health.

The consequences of poor dental health go way beyond bad breath.

Dental Corner: "A foundation for treating canine periodontal disease" (October 2006).

Patients with periodontal disease, the most common disease in dogs, suffer from progressive inflammation and destruction of the tissues supporting the teeth.

The idea of orthodontic correction for dogs frequently elicits snickers and causes uninformed eyes to roll.

Feline gingivostomatitis is probably the most frustrating oral disease seen in veterinary practice. Cats with this chronic, painful inflammatory disease can be severely compromised, and medical treatment can cause adverse effects.

In May, I explained how to perform a nonsurgical extraction on single-rooted teeth including the incisors, first premolars, deciduous canines, and mandibular third molars. A surgical approach is indicated to extract canines, certain large incisors, and multirooted teeth and to retrieve root tips.

A dental extraction should be considered an end-stage procedure. When teeth are salvageable, we can go to great lengths to avoid extraction. Unfortunately, in many cases extraction is advisable and necessary.

Tooth resorption is the most common dental problem in cats, with studies worldwide showing a prevalence rate (in cats presented for dental problems) of up to 75%.

Chronic ulcerative paradental stomatitis (CUPS) is a painful condition in dogs that is also known as ulcerative stomatitis, idiopathic stomatitis, and lymphocytic-plasmacytic stomatitis.

Most pets will benefit from a yearly dental cleaning and oral examination under anesthesia. When patients are discharged following a professional dental cleaning, a home-care program should be part of the take-home instruction sheet.

Local anesthesia and regional anesthetic nerve blocks have been used for decades in human dentistry, but incorporating intraoral regional anesthetic blocks into veterinary dental and oral surgical procedures did not gain acceptance until the mid-1990s.

The vast majority of feline dental problems can be grouped into five categories: periodontal disease, feline odontoclastic resorptive lesions, fractured teeth, feline gingivitis/stomatitis syndrome and oral neoplasia.

Coming in August: Dr. Carmichael will complete his discussion on feline oral diseases including odontoclastic resorptive lesions, treatment options for fractured teeth, feline gingivitis/stomatitis syndrome and feline oral neoplasia.

Published: February 1st 2006 | Updated:

Published: April 1st 2012 | Updated:

Published: December 1st 2011 | Updated:

Published: April 1st 2010 | Updated:

Published: December 3rd 2009 | Updated:

Published: October 13th 2009 | Updated: