
Medical


Nearly 60,000 people die from rabies every year, almost half of which are children. Here are some of the human and veterinary health efforts designed to stop this from happeningcompletely.

This One Health approach to the flu would offer protection against the flu across the board and be safer for higher-risk populations than the traditional flu vaccine.

Results from the Golden Retriever Lifetime Study by Morris Animal Foundation focus on golden retrievers, but report posits data could apply to other large breeds.

Sign up to receive the dvm360.com e-newsletters and a print or digital subscription to dvm360 magazine, Firstline, and Vetted.

While some in the veterinary world might be raring to throw a CBD is legal! parade, there are a few caveats keeping you from tossing confetti. Lets walk through it.





Veterinary neurologist Dr. Michelle Carnes discusses updated terminology and effective management of epileptic dogs and cats.

The internet is rife with arguments about what to feed pets. Veterinary professionals should be at the heart of that discussion, but they often find themselves pushed to the fringe.

Heartworm disease is affecting more dogs and cats in more parts of the country than ever, in part due to the long-distance transport of shelter animals. Here's what you need to know to educate your veterinary clients.

Attention veterinary practitioners: You probably feel pretty comfortable treating the common toxins affecting pets these days. But do you know what to do when that Lab gets into a clients Adderall?

Michigan State Universitys veterinary team calls Stellas case an inspiration, and believe her revolutionary skin grafts can change veterinary medicine as we know it.

Injectable heartworm preventive is approved for dogs 12 months of age and older and provides 12 months of protection.

A new series of questions for veterinary clients could shed a light on a particular dogs tendencies to get peeved when expectations are subverted.

Even a veterinary nutritionist cant be familiar with every diet available for dogs and cats. Heres how to tell quality from quackery.

This is a powerful example of how understanding the way cats think and making changes to accommodate their needs really can prevent illness and save liveseven under the worst of circumstances.

The bipartisan bill would improve public health preparedness and bolster the effectiveness and efficiency of the U.S. governments response to emergencies.

News that may save more cats from relinquishment: A diet coated in egg powder has been found to neutralize the protein that causes people to experience allergic reactions to cats.

Agency looks for links between certain ingredients, specific brands and veterinarian-diagnosed cardiac issues in the 500-plus case reports it has received.

Researchers say lampreys might hold the key to getting mammalian brain tissue to accept chemotherapy drugs.

The science is out on the topic, but the U.S. Food and Drug Administration is collecting cases. Share the basics with your veterinary clients with this printable handout.

Anivive Lifesciences starts with unmet therapeutic needs and employs high-tech research methods to identify compounds that could meet those needs.

The veterinary team behind the ongoing clinical trial has found that 89% of dogs who received cannabidiol had a reduction in frequency of seizures.

Dr. Sarah Schmid provides the internal medicine perspective on this thymoma case.

Dr. Christian Latimer provides the surgery perspective on this thymoma case.

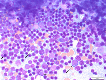
Dr. Lisa Viesselmann provides the clinical pathology perspective on this thymoma case.

Dr. Nathan Helgert provides the anatomic pathology perspective on this thymoma case.
