
Dr. Lisa Viesselmann provides the clinical pathology perspective on this thymoma case.
Department of Small Animal Clinical Sciences
College of Veterinary Medicine
The University of Tennessee
Knoxville, Tennessee

Dr. Lisa Viesselmann provides the clinical pathology perspective on this thymoma case.

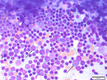
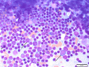
Dr. Lisa Viesselmann provides the clinical pathology perspective on this multiple myeloma case.

Dr. Lisa Viesselmann provides the clinical pathology perspective on this challenging oncology case.

Dr. Lisa Viesselmann provides the clinical pathology perspective on this challenging oncology case.

Dr. Lisa Viesselmann provides the clinical pathology perspective on this challenging veterinary oncology case.

Published: April 8th 2016 | Updated:

Published: June 8th 2016 | Updated:

Published: March 13th 2017 | Updated:

Published: June 20th 2017 | Updated:

Published: May 31st 2019 | Updated: