
Efforts must now focus on increasing awareness of the zoonotic risks associated with many of these parasites and improving pet owner compliance.


Efforts must now focus on increasing awareness of the zoonotic risks associated with many of these parasites and improving pet owner compliance.

To increase parasite prevention and control compliance, make sure the doctors are in agreement about the standards of care and team members know what to say to clients.

Testing, treatment, and public health all play a part.

Orlando - With only 4 percent of cats estimated to be on heartworm medicine, a new campaign from the American Heartworm Society (AHS) aims to change what officials are calling an abysmal prevention rate.

SHAWNEE MISSION, KAN. - 1/31/2007 - Bayer Healthcare LLC recently received Food and Drug Administration (FDA) approval for a new topical product targeting fleas, heartworms and intestinal nemotodes for both dogs and cats. Bayer officials report the approval and subsequent launch signal an important development for broad-spectrum parasite control. Advantage Multi-TM for Dogs Topical Solution and Advantage Multi-TM for Cats Topical Solution are available by prescription only through licensed veterinarians.

This article reviews the recent literature, common clinical presentations, and current recommendations on diagnosing and treating knemidocoptiasis.

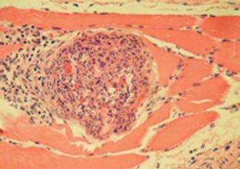
A 2.5-year-old spayed female mixed-breed dog was presented to Claiborne Hill Veterinary Hospital for evaluation of a one-day history of pain when walking.

BEL AIR, MD - 11/28/06 - A September national survey of more than 1,000 dog and cat owners conducted for the nonprofit Companion Animal Parasite Council (CAPC, www.petsandparasites.org) revealed that while many people are aware that children are especially at risk of being affected by zoonotic disease caused by the transmission of parasites to humans by pets, they appear indifferent to the risk.

Most clients would be pretty grossed out to find a flea or tick on their pets. But they don't always take all the steps to protect their pets from infestations. That's where you come in. You want to start pet owners off on the right paw, so begin discussing parasite control the first day clients visit with their new pets.

In the article "Optimize intestinal parasite detection with centrifugal fecal flotation," which appeared in the July 2006 issue, the veterinary distributor for centrifuges manufactured by LW Scientific was not listed.

Gaithersburg, Md.- When fibrosis hardened Pat Dickinson's lungs in late 2004, doctors struggled to isolate her illness. Two years later, the 55-year-old dog owner credits a veterinarian's education for avoiding a lung transplant and even death.

Failure to use best-practice techniques, such as centrifugation, when conducting fecal flotation procedures can result in failure to detect parasite stages in fecal samples. In this article, we review the basics of fecal flotation techniques and describe step-by-step procedures for conducting accurate and effective centrifugal flotation procedures.

Fecal egg counts (FEC) in horses are incredibly consistent for an individual horse, as shown recently from a three-year study in Denmark.

Is your message about the risks of parasites reaching clients?

Not all horses are affected the same, probably 20 percent of horses shed 80 percent of the eggs.

A few years ago, our veterinarians and licensed veterinary technicians learned that centrifugation of fecal samples was the superior test for diagnosing gastrointestinal parasitism.

Overcoming clients' preconceived notions can be difficult, especially as newer research suggests that treating horses as individuals might be more effective than a shotgun deworming regimen.

With the increasing numbers of meat goats in the United States, many bovine practitioners face questions about goat healthcare targeted toward internal parasite treatment and control.

You know how important heartworm preventive is and likely prefer clients buy 12 months worth of preventive at once, so they don't delay when they need more and risk the pet's health. After sending a practice manager to an AAHA pilot program on compliance in 2003, Suburban Animal Clinic in Columbus, Ohio, implemented a few changes to increase 12-month heartworm preventive compliance.

Davis, Calif. - Ranking as the fifth-warmest winter on record for the United States, an expert entomologist warns it could signal a busy parasite season, thereby increasing the threat of vector-borne disease transmission.

How can I convince our clients that their pets need flea and tick control?

In patients with clinical signs of one tick-borne disease, it is important to consider that they may be infected with multiple tick-borne pathogens. Coinfections may account for the diverse clinical signs some patients exhibit.

The most common question asked of the Companion Animal Parasite Council by practicing veterinarians is "Do these guidelines apply to me?" Our answer is always an unequivocal "Yes."

Gastrointestinal parasites are insidious causes of disease in cats. Protozoan parasitic infections in particular can be difficult to detect because there are often no signs of disease, or the signs, such as diarrhea, are nonspecific. But these infections must be uncovered and cured before they cause serious disease or spread to housemates or even owners.

Orlando - A recently released survey documents that 250,000 dogs and cats tested positive for heartworm infection in 2004.