
The pH is a logarithmic representation of the hydrogen ion activity. It is an overall representation of the net effect of all of the acidotic and alkalotic processes in the body.

The pH is a logarithmic representation of the hydrogen ion activity. It is an overall representation of the net effect of all of the acidotic and alkalotic processes in the body.

Animals are sometimes presented with such severe abnormalities in important blood constituents that a generic fluid plan does not adequately address the problem.

Once life-threatening hypovolemia and electrolyte problems have been corrected or if they were not judged to be present in the first place, the remaining fluid and electrolyte abnormalities can be dealt with.

Abdominal trauma may result in specific injury of the peritoneal or retroperitoneal structures, diaphragm, or body wall constituents.

"Preload" parameters are those which address whether or not the heart is receiving a venous return sufficient to expect reasonable forward blood flow.

A chief concern with any trauma that causes frontal or poll injury is possible damage to the central nervous system.

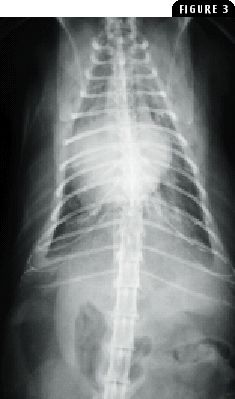
Thoracic trauma is common in dogs and may result in marked morbidity and mortality because of injury to the lung parenchyma (pulmonary contusion), pleural space (hemopneumothorax), great vessels, thoracic wall (rib fractures), diaphragm, or myocardium.

Avian medicine in the United States and abroad tends to be more focused on crisis and intervention than on preventive care and wellness. Therefore, in this article I discuss some of the basic considerations of emergency medical care in pet birds.

Patients with congestive heart failure are, unfortunately, common in small-animal practice. Some patients present with acute exacerbation of previously diagnosed and treated cardiac disease. Other animals may present with vague and nonspecific clinical signs and have no known history of cardiac problems.

In many cases, wounds that extend under the skin and into muscle will need to be opened further to allow debridement of devitalized fat and muscle.

In this retrospective study from a veterinary teaching hospital, the records of 15 dogs and three cats surviving cardiopulmonary arrest were reviewed to describe the animals' resuscitations and outcomes.

Recently I was visiting with a friend who is still in clinical practice, and our talk turned to emergency duty.

New York-The American Society for the Prevention of Cruelty to Animals (ASPCA) has launched a national public service campaign featuring actress Kim Cattrall to educate Americans about the importance of emergency pet preparedness.

Auburn University, Ala.-Critically ill pets in the Southeast may gain a second chance at life in the newly-launched Critical Care Program at Auburn University (AU).