
Acute lung injury and acute respiratory distress syndrome (ARDS) are challenging and frequently lethal respiratory disorders encountered in veterinary medicine.

Acute lung injury and acute respiratory distress syndrome (ARDS) are challenging and frequently lethal respiratory disorders encountered in veterinary medicine.

Wounds of the lower limbs of the horse can be challenging to treat successfully, especially those that may involve tendons, ligaments and synovial (joint) spaces.

Cats with respiratory distress represent a significant diagnostic and therapeutic challenge to the small animal veterinarian.

Neurological emergencies are common in small animal practice.

Trauma is a common presenting complaint in the small animal veterinary emergency room and traumatic brain injury occurs in a high proportion of these patients.

Predisposing factors that may preclude a cardiocerebral arrest should be eliminated when possible for every critical patient.

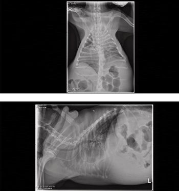
Respiratory emergencies should always be triaged quickly and with precision.

Successful CPCR is dependent on several factors, the most important factor being the true cause of the arrest.

Trauma is perhaps the most instantly recognizable cause of acute pain in man and animals and is a common cause of critical illness.

Initial triage evaluation of the post-trauma patient should include a careful evaluation of respiratory function.

"Acute abdomen" is widely understood by clinicians as a potentially serious syndrome that is typically accompanied by spontaneous and evoked behavioral signs of pain.

It is the rapidly dividing nature of cancer cells that allows us to have success with chemotherapy protocols, and this same behavior can also lead to a crisis situation.

Respiratory dysfunction commonly occurs as a sequela of critical illness in dogs and cats.

Reintroducing the "flashing" technique, also useful for wide vascular pedicles requiring ligation

National Report -- North Dakota and Oklahoma are the latest to join a growing number of states that have passed laws to make things easier for veterinary volunteers during declared emergencies.

The tie-over bandage is a simple, inexpensive, versatile bandage that has many applications in veterinary medicine.

My experience with using newspaper to make spica, meta and back splints spans more than 30 years.

To better coordinate animal-rescue efforts during times of disaster, the AVMA, AVMF and the American Red Cross are working together.

Cardiac arrest is a life-threatening emergency which must be recognized and treated IMMEDIATELY!

In spite of the fundamental importance of auscultation to the physical exam, there has been surprisingly little effort made to teach and standardize how the examination is performed, how to interpret results, and how to communicate those results between professionals.

The principles of management of patients with severe lung disease and injury are summarized and the cases depicting the use if these management techniques are presented.

Critical care includes around-the-clock nursing and support for vital organ function.

It is important to remember that pain is an experience, not a neurologic process.

It is suspected that mammals generally adopt a respiratory pattern that meets their metabolic needs with the least metabolic energy cost.

When first alerted to a patient presenting in crisis, the goal of the initial examination is to rapidly identify any imminently life-threatening problems via a streamlined, efficient, clinical examination.