
Oncology
Latest News



The 35 veterinary oncology centers are located in 13 states across the U.S. with an aim to open more in Canada.

A veterinary oncologist outlines what every veterinarian should know when counseling owners on complementary and alternative medicine treatments for their cancer patients.

In a session promising feline cancer CliffsNotes, Fetch dvm360 conference speaker and veterinary oncologist Sue Ettinger shared her take on diagnosing and treating this cancerous condition.

They're anything but predictable and unfortunately very common. Here's what veterinarians need to keep top of mind when managing this malignancy.

Results from the Golden Retriever Lifetime Study by Morris Animal Foundation focus on golden retrievers, but report posits data could apply to other large breeds.

Because the clinical signs of transitional cell carcinomas can mimic UTIs, some veterinary patients arent benefiting from early detection, proper diagnosis and treatment. Use these tools when treating high-risk breeds and help these dogs live longer, happier lives.

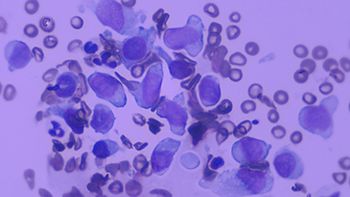
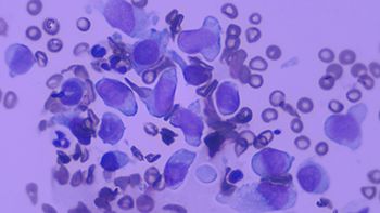
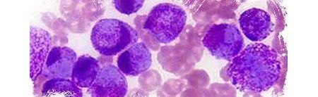
Dont cell yourself short: tap into the potential of veterinary cytology with these expert tips on obtaining and evaluating specimens.

Heres our regular roundup of new and noteworthy veterinary products.

Drawing from their evaluation of current standards and practices in human and veterinary medicine, UK researchers make recommendations for infection prevention with antimicrobials in dogs and cats receiving chemotherapy.

Osteosarcoma is a highly aggressive and locally destructive cancer in veterinary patients. Heres the latest on diagnosis, treatment and prognosis for these common bone tumors in dogs and cats.

Researchers say lampreys might hold the key to getting mammalian brain tissue to accept chemotherapy drugs.

An untouched food bowl is bad for patient health and client perceptions. Heres how to partner with pet owners to catch and control inappetence in your veterinary oncology patients.

This dog was referred to an oncologist because of a mass identified by its primary veterinarian. Work through this case with the team at the University of Tennessee to find out what happens once a patient is referred.

Its never too late to correct oral problems, as long as the patients age remains top of mind.

Guide veterinary clients through the chemotherapy process using this helpful tool.

Provide this handout to prepare veterinary clients for what they may face when their pets receive cancer treatment.

Use these five questions to determine whether certain oncology therapies might benefit your patients on their path toward better health.

Dr. Kim Johnson shares tips on diagnosing and treating canine transitional cell carcinoma.

These basic algorithms provide every veterinarian a framework for diagnosing cancer and deciding with pet owners on the right course of treatment for a cure, a longer life or improved quality of life.

KC Animal Health Corridor event showcases innovative technology that may eventually help veterinarians diagnose and treat malignancies of all types.

Recurrent, multidrug-resistant skin infections that present with scaling and ulcerated, crusting lesions are signs of this condition.

Sample was taken from the dorsal trunk of an 8-year-old male golden retriever.

You missed it? You didn't write these veterinary practice management and medicine down? I got you covered.
 