
Anesthesiology & Pain Management
Latest News
Latest Videos

More News

A recent study challenges the use of tramadol for canine osteoarthritis.

Amy L. Pike, DVM, DACVB, chief of the Behavior Medicine Division at the Veterinary Referral Center of Northern Virginia, says when dealing with pain, veterinarians need to use a multimodal treatment approach.

I learned first-hand this year how hard these injuries are for pets and their owners.

Ed Durham, author of a new veterinary cardiology textbook for technicians, has a passion for his specialty, for education and for empowering his peers to do more.

A recent review highlights the challenges of using behavior to assess pain and health-related quality of life.

Try this overview of surgical repair options to brush up your knowledge.

Commonly prescribed drug not associated with improvement when compared with NSAID.

This textbook veterinary surgery went according to textbookuntil the patient didnt wake up.

Still wondering if CBD oil lives up to the hype, or if youll go to jail for recommending it? New research from Cornell backs the claims, and the federal government seems to be loosening the noose on veterinary recommendations.

Rehabilitation therapies are great nonpharmaceutical methods for pain management in pets.

Recent study findings show that this popular pain reliever offers no improvement over placebo treatment for elbow and stifle joint pain.

Well, a LOT of pennies for your thoughts. As in, well pay you for the brilliant problem-solving ideas youve come up with within the veterinary world.

Dr. Michael Petty discusses one of his key takeaways for attendees of his upcoming Fetch dvm360 pain management sessions.

Whether its a tip for studying, saving money or just plain ol destressing, we want to hear and share them with fellow students like you!

The number one thing is to listen to the pet owner and the pet's history.

Owners oftentimes notice a subtle change in the behavior of their pets that could actually be indicators of pain, explains Amy L. Pike, DVM, DACVB, chief of the Behavior Medicine Division at the Veterinary Referral Center of Northern Virginia.

With the right tools and technique, you can avoid general anesthesia and still provide adequate analgesia during surgery. Here's your guide to several nerve blocks in your veterinary equine patients.

This veterinary orthopedic surgeon says he stopped using tramadol for his canine patients about 5 years ago.

Large-breed dogs need a little extra TLC sometimes. Here are three products to make their lives easier.

A new study suggests that veterinarians should routinely assess dogs presenting with noise aversion for musculoskeletal pain.

This veterinary nurse talk about the most important thing for recognizing and treating pain in cats.

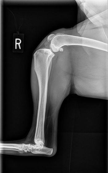
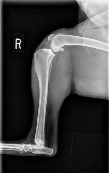
Are you an X-ray expert? Test your skills with this case of an unsteady standard poodle pup.

Are animals painful or not? That is the biggest challenge for veterinarians when assessing pain, says James Gaynor, DVM, DACVA, DACVPM, pain specialist at Peak Performance Veterinary Group in Frisco, Colorado.

Each of these health problems causes harm in its own way, and it's not unusual for patients to present with all three. Early detection and intervention and a multimodal management strategy are keys to taming this tangled trio and improving a patients quality of life.

Veterinarians can add a new item to the growing list of cringeworthy client communication topics: cannabis-based treatments.














