Conference Coverage
18 days ago
Considerations for an emergency cardiac case21 days ago
Managing respiratory distress28 days ago
Prioritizing preventive medicineabout 1 month ago
Veterinary conference calendar (September 2025)about 1 month ago
Staining eyes in general practiceabout 1 month ago
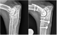
Recognizing blunt force trauma injuriesabout 1 month ago
Understanding the dominance theory in animal behaviorabout 1 month ago
Evaluating the risks of canines with a history of aggressionTrending on dvm360
AI system achieves perfect score on veterinary licensing exam
Before we were veterinary professionals, we were pet parents
Canine oncology drug featured in Emmy-nominated documentary
Managing osteoarthritis in dogs and cats
Sneak peek: CDC cautions public about rabies exposure risk from feral cat colonies, and other news
Latest News
Shorts










Podcasts

Early Detection: Advancing Canine Cancer Care
Discover how early cancer detection through the Cancer DX test enhances canine patient outcomes in this episode of The Vet Blast Podcast presented by dvm360.

Managing, treating, and monitoring canine diabetes
Explore the latest insights on canine diabetes management, treatment options, and innovative continuous monitoring techniques in veterinary care.

Celebrating Veterinary Technician Week with Mike Natale, LVT
Michael Natale, LVT, emphasizes the importance of confidence, advocacy, and continuous learning in shaping the future of the profession.

Managing atopic dermatitis in canine patients
Explore the latest insights on canine atopic dermatitis treatment with Joya Griffin, DVM, DACVD, and Adam Christman, DVM, MBA.

Modern multimodal pain management for patients
Discover effective pain management strategies for pets, including joint therapies and holistic approaches, in this insightful episode of The Vet Blast Podcast.

ER medicine without the panic button
Discover essential crash cart items for emergency medicine, including stocking tips, training advice, and common pitfalls to avoid.

Me, we, us: Comprehensible wellbeing
Explore the vital conversation on veterinary well-being, addressing burnout and mental health with Adam Christman, DVM, MBA; Alex Miller, VMD, MS, and Phil Richmond, DVM, CAPP, CPHSA, CCFP.

The distributed model of veterinary school
Discover the innovative distributed model in veterinary education with insights from LMU's executive dean, exploring its benefits and challenges for future veterinarians.

Advances in diagnosing and managing osteoarthritis in dogs
Explore advancements in pain management for dogs during Animal Pain Awareness Month

An entrepreneurial veterinarian
Discover how Alexa Romano, DVM, balances veterinary medicine and entrepreneurship with her new business, Cool Beans Coffee Company.
dvm360 Digital Edition





All News

This common problem in equine patients is often multifactorial, requiring a complete and accurate diagnosis and a multimodal management approach for successful treatment.

The approval will now encourage state veterinary regulatory boards to include credentialed technicians as voting members.

Canada investigates a Salmonella outbreak linked to Puppy Love and Puppy World dog treats, urging safety measures for pet food handling.

Vet Tech Summit panelists at the Elmwood Park Zoo in Pennsylvania discuss opportunities outside small animal practice.

Danielle Chesek, CVT, emphasizes the need for better utilization, title protection, and fair compensation for veterinary technicians during National Veterinary Technician Week.

Jennifer K. Quammen, DVM, MPH, shares how artificial intelligence can serve as a modern day teammate in the clinic.

Arkansas State University celebrated the symbolic milestone in constructing its new facility during a celebratory event.

Check out this week’s headlines.

Zoetis' drug was recently approved in Canada and recommended in Europe.

Explore the latest insights on canine diabetes management, treatment options, and innovative continuous monitoring techniques in veterinary care.

How veterinary technicians enhance client service, build trust, and avoid common pitfalls in veterinary care.

In this Q&A, Martínez reflects on her experiences in veterinary medicine as a person of color and on what it takes for clinics to fully recognize an underrepresented professional's "whole person."

Explore the journey of veterinary technicians as Samantha Newton, RVT, pursues specialty certifications, shares insights on emergency care, and discusses essential skills.

Kourtney Conti, CVT, discusses her role as a member of the veterinary team at Elmwood Park Zoo in Pennsylvania.

The latest updates relating to animal care establishments and platforms.

Meghan Wells, DVM, MPH, discusses the value of technicians to the veterinary team and a practice, in a dvm360 interview.


The survey also found that as the number of lumps seen increased, the likelihood of sampling decreased. Could a “wait and see” approach be costing dogs valuable treatment time and compromising outcomes?

Michael Natale, LVT, emphasizes the importance of confidence, advocacy, and continuous learning in shaping the future of the profession.

A doctorate student at UC Davis is receiving up to $10,000 in funding to support their research efforts.

This is the first known occurrence of the Asian longhorned tick in the state.

Evans reflects on her unexpected path to veterinary medicine, what she wishes other team members knew about technicians, and her advice for aspiring vet techs.

Black soldier fly larvae could offer a more environmentally friendly alternative to conventional feed ingredients such as soy and fishmeal, according to researchers.

The Texas A&M veterinary team pioneered an innovative surgery to treat Luna, a Persian cat with a cleft palate.

Veterinary technician contributors author articles on a variety of topics such as clinical procedures, patient behaviors and personal experiences that many others can relate to.

The 2025 National Veterinary Technician Week runs through Saturday, October 18.

New leadership moves, recognition, and achievement.

Simple and cost-effective elements in the design of an animal hospital can create more resilient spaces.

Lindsay Hallman, CVT, CCMT, VTS (Oncology), discusses how she found her place in veterinary medicine and what it took to earn the VTS credential, in a dvm360 interview.

Check out this week’s headlines.

The Harvey S. Peeler Jr. College of Veterinary Medicine has received a Letter of Reasonable Assurance from the American Veterinary Medical Association.

“It was like my whole being wasn’t valued, and the things I wanted to bring to the profession weren’t being seen," Melody Martínez, CVT, said of her time in emergency medicine.

A West Virginia veterinarian faces nearly $1 million in penalties for failing to account for controlled substances and allegedly falsifying records.
























