
Dermatology
Latest News
Latest Videos

More News

Technological advances continue to make treatment of many conditions in veterinary medicine more effective and efficient, and laser therapy is no exception. Sponsored by Companion Animal Health

Staying current with technological advances in veterinary medicine is difficult, but it’s an important part of providing excellent patient care.

Use these expert tips and tools to hone your otitis diagnosis and treatment skills, and make it as easy as possible to educate pet owners about this painful and annoying condition. (With an educational grant provided by Bayer)

You know your veterinary clients need to be proactive partners in the successful management of a pet’s ear infection, whether acute or chronic. Use these communication tips to ensure a positive outcome for the pet, the pet owner and your entire team

As one of the top reasons dogs come into your veterinary clinic, you certainly get a lot of practice diagnosing otitis. But because practice doesn’t necessarily make perfect, veterinary dermatologist Dr. Ashley Bourgeois shares her solutions to some common diagnostic conundrums.

Feeling confident in your history-obtaining abilities, veterinarians? If you’re not asking your veterinary clients these 11 questions the next time you’re facing an otitis case, you might want to reconsider.

Successful management of otitis is a team effort, says veterinary dermatologist Dr. Darin Dell. Here’s how to make it happen.

Developing a successful treatment plan for common allergies in cats first requires an accurate diagnosis. A veterinary dermatologist provides diagnostic and treatment details to help you put a stop to the scratching.

When it comes to skin disease in dogs and cats, the physical exam should include a check of every nook and cranny.

Technicians, compare your typical physical exam for cats and dogs to mine to see if you’re checking every nook and cranny of your veterinary dermatologic exam.

Addressing atopic dermatitis in your patients requires a multifaceted approach. Veterinary dermatologist Dr. Darin Dell outlines diagnostic dilemmas, treatment tips and the importance (as always) of client communication when atopy itches along.

Cats ears keep a generally low profile. But when otitis occurs in in your feline veterinary patients, it can be vexing.

There is only one way to truly determine whether the clinical signs youre seeing in your patient are reactions to a food ingredient or additive. Heres how to conduct a proper elimination diet trial.

VetCell Therapeutics researching stem cell treatment, while KindredBio studies efficacy of new monoclonal antibody for veterinary patients.

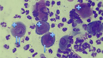
Below is a skin cytology from a 3-year-old male neutered Doberman pinscher with cutaneous lesions. Whats going on?

One patchy kitten with ringworm can send a shelters veterinary team into a panic. Before you start scrambling, review the research so you can manage this pesky dermatologic problem effectively.







Its no secret that acral lick granulomas are irritating for veterinary clients, their pets and you. Heres everything you need to know about this dermatologic condition, from what causes it to how to diagnose it.

This skin impression cytology sample is from a 5-year-old, mixed-breed, spayed female dog.

They're anything but predictable and unfortunately very common. Here's what veterinarians need to keep top of mind when managing this malignancy.












